| Administratie | Alimentatie | Arta cultura | Asistenta sociala | Astronomie |
| Biologie | Chimie | Comunicare | Constructii | Cosmetica |
| Desen | Diverse | Drept | Economie | Engleza |
| Filozofie | Fizica | Franceza | Geografie | Germana |
| Informatica | Istorie | Latina | Management | Marketing |
| Matematica | Mecanica | Medicina | Pedagogie | Psihologie |
| Romana | Stiinte politice | Transporturi | Turism |
Large and giant vestibular schwannomas
Clinic of Neurosurgery,
Motto:
"If any neurologic surgeon were asked to name
the most difficult tumor to extirpate, his answer
would doubtless to be the acustic tumor"
Dandy (1)
Abstract
Background: The main objective in treating large and giant vestibular schwannomas (VS) (large - diameter exceeding 3.5 cm and giant - diameter exceeding 4.5 cm) is their complete removal without significant morbidity Our experience on 7 cases (4 females, 3 males, mean age 42.5 years) with marked brainstem compression, operated between 2004-2009 focuses on factors influencing recurrence and morbidity, especially related to facial nerve function. These patients were included in a series of 32 consecutive vestibular schwannoma excisions.
Methods This report is a retrospective analysis of the surgical outcome of 7 patients with large and giant VS using the retrosigmoid-transmeatal approach. Several prognostic factors were evaluated: patient age, tumor size and consistency, extent of surgical removal, concurring hydrocephalus, hearing loss, facial nerve function, trigeminal nerve deficits, cranial nerve VI, IX and X palsy, tongue edema, ataxic gait and motor deficits.
Results: The mean age was 42.3 years, the mean tumor diameter was 51.8 mm. There were no deaths and the tumors were histologically benign. Extensive microscopic tumor resection was performed in 5 cases related to solid tumor's consistency. Preoperatively hearing loss and high intracranial pressure were encountered in all patients. 4 patients had cerebellar ataxia. Facial anatomical continuity was preserved in 6 cases with solid tumor consistency; 4 patients had a preoperative facial palsy, a good facial nerve function was achieved in 3 cases - House-Brackmann grade I/II. We have met other distinctive signs: cranial nerve V hypoesthesia, VI, IX and X palsy, tongue edema in 2 cases with slight contralateral motor deficit. All patients were clinical and MRI monitored at 3, 6 and 12 months postoperatively.
Conclusion: Total resection associated with a low morbidity rate is possible, avoiding recurrence, reintervention and severe scar tissue. In cases with subtotal resection, radiosurgery is recommended to improve outcome.
Key words: large and giant vestibular schwannomas (VS), surgical approach, facial nerve function
Introduction:
The progress of neurosurgery as a specialty is related to the history of a vestibular schwannoma (VS) - the more accurate term of the classical acoustic neuroma, suggesting the tumor origin from the superior (upper) division of the vestibular nerve, not from the cochlear (also known as the acoustic) nerve (2).
Microsurgical removal of large and giant VS is a daunting task to surgeons, presenting a greater challenge in the quest for total removal - based on a clear surgical strategy, functional cranial nerve preservation and avoidance of any complications (3-8).
For VS larger than 3 cm, associated with significant compression of the brainstem, Gamma knife therapy cannot be used because of the need to program more than one isocenter for the radiation dose, exposing normal neural tissue to excess amounts of radiation (5)(9).
We have made a retrospective analysis of the surgical outcome of 7 patients with large and giant vestibular schwannomas operated using the retrosigmoid-transmeatal approach.
Material and methods
From 2004-2009, 32 consecutive VS resections were performed by the senior author (G.I.) using the retrosigmoid-transmeatal approach. Inclusion criteria were all VS larger than 3 cm in size, corresponding to grade IV Koos classification. We have identified in a review of the operations 7 cases with large or giant VS: 4 females, 3 males, mean age 42.5 years (ranging from 38-68 years)
Preoperative hearing loss - the threshold retained for useful hearing was 60 decibel - Norstadt classification for audiometric hearing (10) and high intracranial pressure with obstructive hydrocephalus were encountered in 2 patients. 4 patients (57.14%) had cerebellar ataxia; 5 patients (71.42%) had facial numbness, paresthesia; 4 (57.14%) patients had a preoperative facial palsy; 3 (42.8%) patients had swallowing difficulties and contralateral motor deficit was observed in 2 (28.57%) patients
All patients underwent CT, MRI T1 - weighted imaging before and after Gadolinium (Gd ) administration and T2 - weighted imaging pre and postoperative; measurements were made on the largest diameter of the tumor excluding intracanalicular components. Tumors classified as large presented a diameter above 3.5 cm, whereas the diameter of giant tumors exceeded 4.5 cm. There were 4 (57.14%) cases with giant tumors and 3 (42.85%) cases with large tumors (mean tumor diameter was 51.8 mm). The tumor's consistency was classified as solid or cystic using T1 and T2 - weighted image with Gd administration. We found that 28.5% of VS (2 cases) included in our study contained cystic elements.
Surgery was performed using the retrosigmoid - transmeatal approach in the lateral decubitus. In 2 cases a temporary shunt was placed intraoperatively to relieve hydrocephalus. A retrosigmoid suboccipital craniotomy of 4 cm diameter was made to expose the posterior part of the sigmoid sinus and the inferior part of the transverse sinus. We favor such an approach for the following arguments: a wider field of action, direct visualization of anterior inferior cerebellar artery (AICA) and other brain stem vessels, dissection of all surfaces of the acoustic tumor always under direct vision, identification of the facial nerve in the lateral angle of the internal auditory canal, ready access to the facial nerve when either anastomosis or graft reconstruction may be necessary.
The surgical technique was based on internal tumor debulking made in a systematic fashion. The ultimate goal of VS surgery being cranial nerves preservation, tumor removal is merely a byproduct. The surgical steps after dural opening tangent to sinuses are:
-cisterna magna opening to allow cerebellar retraction, made by applying a single broad malleable blade from below upwards
-identification of the double arachnoid membrane protecting the cerebellum, lower cranial nerves, anterior inferior cerebellar artery (AICA)
-the tumor capsule is separated from the cerebellum and the inferior tumor part is elevated from the lower cranial nerves and brain stem
-centrifugal, rapid, tumor debulking, to shrink tumor using tumor forceps, dissector (CUSA may perforate the arachnoid layer and damage the neural vasculature!); it's better to leave a shelf of tumor "capsule" all around to avoid injury to all structures outside it
-the tumor is further separated at the upper pole from the trigeminal nerve and pons
-the meatus acusticus internum is exposed in two stages: drilling away the back wall, carrying out the remaining upper tumor; optional drilling the fundus. It is mandatory to avoid the semicircular canals (laterally) and the jugular bulb (inferiorly) whilst drilling; copious water irrigation whilst canal drilling to prevent thermal injury to VII & VIII complex; stripping the dura from canal; waxing bone edges to keep the field bloodless; placement of muscle patch in IAC after tumor removal to prevent CSF leak
-fine dissection close to nerves - the remainder is separated from the facial nerve, brain stem, abducens nerve using a water-jet dissection. In our series, the facial nerve was displaced over the medial aspect of the tumor. Dissection was made bidirectional from the medial and lateral direction meeting near the meatus acousticus internum where most adherences are to be seen. A small part of the capsule attached to the nerve should be leaved. Several blood vessels should be preserved: internal auditory artery, AICA and its branches - the most displaced vessel, SCA, brain stem perforators; also the petrosal and mesencephalic veins.
-dura is closed watertight using a wet fibrinoid-based collagen fleece (Tachocomb), bone flap is refixed.
-for extensive adherences of the tumor to the facial nerve and also to the brainstem in 2 (28.57%) cases a partial tumor removal was performed; no bipolar coagulation was used for hemostasis in this situation: applying a cottonoid, a Gelfoam or Surgicel is temporarily sufficient. Trauma to arachnoidless brain stem surface can be predicted on pre-op CT/MRI. Possible postoperative complications could be induced by: forceful retraction of a densely adherent tumor, traction on the bridging vessels wich may lead to intra-pontine hemorrhage and coagulation of perforators that can induce brain stem infarction. To avoid such complications, tumor feeders should be coagulated and sectioned where they enter the tumor; also staying within the tumor arachnoid holds the key.
Functional outcome was measured using the Karnofsky scale at 3, 6, 12 months postoperatively. Several prognostic factors were evaluated: patient age, tumor size and consistency, extent of surgical removal, concurrent hydrocephalus, hearing loss, facial nerve function according to House-Brackmann scale, trigeminal nerve deficits, cranial nerve VI, IX and X palsy, tongue edema, ataxic gait, motor deficits.
Results
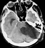
Extensive microscopic tumor resection was performed in 5 (71.42%) cases; diagnosis was confirmed by histopathology in all cases. There were no deaths and the tumors were histological benign (Fig.1). Partial tumor removal was performed for 2 cystic tumors were the arachnoidal plane was poorly defined, with severe adherences to brainstem and facial nerve, extensive bleeding and cerebellar edema.



A B C




D E F G
Fig. 1 Preoperative cerebral CT showing giant VS (51 mm) with obstructive hydrocephalus (A-C); postoperative cerebral CT after 1 year follow-up showing complete resection (D, E); another case with giant VS (57 mm) showing pre and postoperative CT
Facial nerve anatomical continuity was preserved in 6 (85.71%) cases with solid tumor consistency and a good facial function was achieved in 3 (42.85%) cases - House Brackmann grade I/II. For 4 (57.14%) patients with giant VS, the facial nerve deficit worsened postoperatively with respect to House-Brackmann grading scale by III grades, the face was rehabilitated with plastic surgery techniques.
We have noticed a rapid tumor growth, short symptom duration and facial nerve involvement in 2 cystic tumors were a partial resection was performed.
The Karnofski score at discharge was superior to 80%. The major complications in this series were: 3 (42.85%) patients with cranial nerve V hypoesthesia, 5 (71.42%) patients with increased facial numbness, 4 (57.14%) patients with transient VI, IX and X palsy, tongue edema and 2 (28.57%) cases with contralateral motor deficit. These patients recovered well within 6 months after operation.
In 2 cases with partially resected cystic tumors, at 12 months after the operation we have noticed on CT and MRI the same dimensions of the tumor remnants.
Discussion
VS are typically slow growing, benign skull base tumor of cerebellopontine angle, with natural unpredictable evolution and annual growth rate between 0.2-2 mm; they originate from the intracanalicular part of the vestibular nerve, in the region of the transition zone between central and peripheral myelin (2).
While VS was first described by Eduard Sandifort in 1777, the first successful surgical removal was achieved by Sir Charles Balance in 1894, cited by (2). Several neurosurgical pioneers made major advancements in managing this usually benign skull base tumor: F. Krause who introduced the retrosigmoid approach to the cerebellopontine angle and H. Cushing who advocated for subtotal removal and was the first to reduce mortality from 50 to 7.7% - cited by (11). W. Dandy (1) recommended total excision with meticulous capsule dissection as goal of surgery in order to prevent recurrences, with an acceptable low mortality of 2.4%. In 1967 Olivecrona (12) proposed to preserve the facial nerve, achieving this in 20% of his 304 patients with a total tumor removal in 217 patients and a mortality rate rising up to 23%.
The translabyrinthine approach was adopted by Panse in 1904 - cited by (2) as a method to achieve tumor removal preserving the facial nerve. In 1964 House (13) introduced operating microscope for translabyrinthine approach and in 1965 Rand and Kurze - cited by (2) were the first to introduce an operating microscope for the transmeatal posterior fossa approach.
Yasargil (14) improved the microsurgical technique, emphasizing the importance of the brain stem arterial supply and the need to optimize the preservation of facial nerve function. These technical advances have led to a 50% reduction in mortality, a rate of complete tumor removal reaching 85% and to a successful anatomical preservation of the facial nerve in 80% of the cases.
The management of VS has evolved significantly with the advent of new radiological diagnostic procedures (high resolution CT, multiplanar MRI) that allow early diagnosis of small and medium size VS; safe, modern anesthesia, development and refinements in the microsurgical techniques, neurophysiological intraoperative monitoring and working in multidisiplinary teams have led to a dramatic improvement in clinical outcome, with an operative mortality of around 1% and a rate of total tumor removal close to 95% (2-9)(15-24).
In some expert hands: Koos W. (18), Rhoton Al. (21), Samii M. (2)(6), Noren G., Regis J., Pellet W., Cannoni M. - cited by (11), the preservation of useful hearing (Gardner-Robertson 1 or 2) has been achieved in selected small lesions with very good preoperative hearing and also the possibility of preserving normal facial motor function in many cases (House-Brackman 1 or 2).
Although surgical procedures could be complex and difficult, even in large and giant VS compressing the brainstem, a complete tumor removal has become the rule in many cases, preserving all cranial nerves in exceeding numbers, without additional morbidity or mortality. In many cases the VIIth nerve may be so thin that it could be be confused with the arachnoid when very severely compressed. There are various anatomical relationships encountered during resection; nerve stimulator, electrophysiology may allow a gentle separation of VII nerve from tumor by using micro dissector & sharp arachnoid dissection (6)(7)(18).
Brainstem compression, even brainstem dislocation, cerebellum and severe fourth ventricle compression can produce ventricular dilatation; the VII & VIII complex, lower cranial nerves severely stretched occur in large or giant VS (10)(18).
The most common clinical signs (5) are: cophosis, cerebellar ataxia, symptoms of raised intracranial pressure (headache, papilledema) and symptoms of normal pressure hydrocephalus in elderly (gait disturbance, dementia and incontinence). In our series a temporary shunt was placed intraoperatively to relieve hydrocephalus in 2 cases; generally the need of a preoperative shunt was as high as 66% in ancient series (14), others consider shunting rarely required because total surgical excision is sufficient (7).
The approach is controversial: many surgeons prefer the retrosigmoid approach in the sitting, semi-sitting or lateral position (2-8)(15)(17-19)(21)(23). However Sami (6) reported a high incidence of hematoma after retrosigmoid removal of cystic tumors in the semisitting position, as well as air embolism irrespective of anesthetic monitoring measures taken to prevent this complication. In the lateral position the peritumoral veins may generate intraoperative bleeding (5). The translabyrinthine approach is advocated by ENT surgeons for good tumor exposure with minimal retraction of the cerebellum, early facial nerve identification and eases the repair of the facial nerve when it is transected (5)(13)(15)(16)(20)(24)(25). The disadvantages of the translabyrinthine approach (4) are: longer operating times, higher rates of postoperative facial paralysis and the risk of cerebrospinal fluid leak.
In large VS, Anderson (3) described a combined translabyrinthine-retrosigmoid approach especially for more lateral giant tumors that extend to the fundus of the IAC. The rates of preserving good facial nerve function are similar among the retrosigmoid, translabyrinthine and middle fossa approaches in large VS: 42-52.6% with early identification of the root entry/exit zone and caution in tumor excision in the extrameatal region just outside the porus acusticus (5). Only 18% of operated patients have excellent facial nerve function (House-Brackmann grade I/II) explained by the bad initial clinical status, the tumor size and the lack of systematic intraoperative facial monitoring (5)(8)(17)(19)(23). According to Sami (6) facial nerve anatomical results (of 200 cases of grade T4 VS, total removal was achieved in 98% and anatomical facial nerve preservation was possible in 98,5%) were not correlated with functional results, while size was well correlated with facial function. Even when the facial nerve is left anatomically intact, surgical interventions can have esthetic and functional consequences which greatly reduce the quality of life (4).
Removal of large and giant residual or recurrent VS is more difficult due to scar tissue and the absence of a clear arachnoid plane between tumor and brainstem, vessels, and nerves even for the most experienced surgeon (11,18). When excision is incomplete, the recurrence rate is usually high, depending of VS cellularity and vascularisation (7). Recurrence rate reported was of 0-3.9% for gross total removal; 9.4-29% for near total resection as a result of surgical devascularization and 25-65% for subtotal resection, especially in the midcerebellopontine angle after the translabyrinthine approach (24). Vestibular schwannomas can relapse 10-15 years postoperatively (10% of patients) even when surgeons have the impression that these have been completely removed (4). The growth rate of residual or recurrent VS is unpredictable: most authors reported a very low recurrence rate after complete tumor excision; however, a higher recurrence rate after subtotal removal has also been observed in 44-53% of patients (5). In cystic tumors (26) a rapid tumor growth with possible vascular compression led to a less favourable outcome than solid tumor, also some tumor remnants may not grow. Also cystic VS demand careful dissection and may be subtotally resected for various reasons: the arachnoid plane is not easily preserved as it is densely adherent to the surrounding structures; the cranial nerves are displaced in a relatively uncertain position; cyst formation may predict a more intimate involvement of the neural tissue; high tendency to postoperative bleeding; dissection of the facial nerve from the tumor is more difficult (5)(6)(22).
For subtotal tumor debulking confirmed by MRI at 3 months, 6 months to 1 year postoperatively, the alternatives are (5)(6)(9)(17)(22)(26):
-planned staged approaches - first tumor debulking via a retrosigmoid approach followed by a second stage translabyrinthine resection of the residual tumour
-wait and see - in case a a small and stable residual tumor in elderly patients
-subtotal tumor debulking followed by stereotactic radiotherapy which can offer excellent facial nerve function in 85.7% patients with House-Brackmann grade I/II (1) and tumor growth control. At the time of radiosurgery the tumor size is diminuished < 20 mm and radiosurgery could be made with a peripheral dose 11-13 Gy and in the tumor centre the dose should be 22-26 Gy.
Conclusion
VS is a benign tumor in a malignant location (2). Progressive improvement in the results of VS surgery was possible owing to: better clinical preoperative deficits evaluation, tumor size (the smaller the tumor, the better the outcome !), imaging innovations, intensive care, intraoperative monitoring, advent of microsurgery and of course increasing surgical experience (6-8)(18).
Complete VS removal at one stage while preserving neurological functions and the quality of life should be the optimal treatment, thus avoiding recurrency, reintervention and severe scar tissue.
For large and giant VS the optimal treatment should be tried; however an alternative could be the combined staged therapy: subtotal intracapsular resection relieving mass effect and brainstem compression at the first stage, follow-up and stereotactic radiosurgery at a second stage for the residual tumor.
References:
Dandy W.E. - Results of removal of acustic tumors by the unilateral approach, A.M.A. Arch. Surg. 1941, 42: 1026-1043
Samii M. - Vestibular schwannomas, Sindou M. - Practical Handbook of Neurosurgery, Springer Wien New York, 2009, 333-345
Anderson D.E., Leonetti J., Wind J.J. et al. - Resection of large vestibular schwannomas: facial nerve preservation in the context of surgical approach and patient assessed outcome, J.Neurosurg. 2005, 102 (4): 643-649
Fuentes S., Arkha Y., et al. - Management of Large Vestibular Schwannomas by Combined Surgical Resection and Gamma Knife Radiosurgery, in Regis J., Roche P.H. - Modern Management of Acustic Neuroma, Karger 2008, 79-82
Laghmari M., Ouahabi A. El., Derraz S., Khamlichi A. El. - Treatment of large vestibular schwannomas: Towards a compromise between recurrence and facial function preservation, Pan Arab Journal of Neurosurgery, 2009, vol.13, 1: 31-39
Samii M., Gerganov V., Samii A. - Improved preservation of hearing and facial nerve function in vestibular schwannoma surgery via the retrosigmoid approach in a series of 200 patients, J. Neurosurg 2006, 105: 527-535
Turel K.E. - Surgical techniques & pitfalls in acustic neuroma, Romanian Neurosurgical Congress, Timisoara 2003.
Yamakami I., Uchino Y.,Kobayashi E. et al. - Removal of large acoustic neurinomas (vestibular schwannomas) by the retrosigmoid approach with no mortality and minimal morbidity, J. Neurol Neurosurg Psych 2004, 75: 453-458
Lunsford L.D, Niranjan A., Flickinger J.C., Maitz A., Kondziolka D. - Radiosurgery of vestibular schwannomas: summary of experience in 829 cases, J. Neurosurg. 2005, 102 (Suppl): 195-199
Malis Li - Nuances in acoustic neuroma surgery, Neurosurg. 2001, 49: 337-341
Regis J. et al. - Introduction, in Regis J., Roche P.H. - Modern Management of Acustic Neuroma, Karger 2008, 1-5
Olivecrona H. - Acustic tumors, J. Neurosurg 1967, 26: 6-13
House W.F. - Translabyrinthine approach, in House W.F., Luetje C.M. (eds) - Acustic Tumors, Baltimore, University Park Press 1979, 43-87
Yasargil M.G. et al. - Microsurgical approach to acoustic neuromas, Adv. Tech. Stand. Neurosurg. 1977, 4, 93-129
Briggs R.J., Fabinyi G., Kaye A.H. - Current management of acustic neuromas: review of surgical approaches and outcomes, J.Clin Neurosci 2000, 7: 521-526
Day J.D., Chen D.A., Arriaga M. - Translabyrinthine approach for acoustic neuroma, Neurosurgery 2004, 54: 391-395
Iwai Y., Yamanaka K., Ishiguro T. - Surgery combined with radiosurgery of large acoustic neuromas, Surg. Neurol 2003, 59: 283-289; discussion: 289-291.
Koos W.T., Matula C., Lang J. - Color Atlas of Microneurosurgery of Acustic Neurinomas, Thieme, 2002, 184-190.
Jung S., Kang S.S., Kim T.S. et al. - Current surgical results of retrosigmoid approach in extralarge vestibular schwannomas, Surg. Neurol 2000, 53: 370-377; discussion 377-378
Mamikoglu B., Wiet R.J., Esquivel C.R. - Translabyrinthine approach for the management of large and giant vestibular schwannomas, Otol Neurotol 2002, 23: 224-227
Rhoton A.L. Jr. - The cerebellopontine angle and posterior fossa cranial nerves by the retrosigmoid approach, Neurosurgery 2000, 47: S93-S129
Ricardo R., Neto M.C. et al. - Treatment of large and giant residual and recurrent vestibular schwannomas, Skull Base 2007, 17(2): 109-117.
Seol H.J., Kim C.H.,Park CK et al. - Optimal extent of resection in vestibular schwannoma surgery: Relationship to recurrence and facial nerve preservation, Neurol Med Chir (Tokyo) 2006, 46: 176-180; discussion 180-181
Sluyter S., Graamans K,Tulleken C.A. et al. - Analysis of the results obtained in 120 patients with large acoustic neuromas results obtained in 120 patients with large acoustic neuromas surgically treated via the translabyrinthine-transtentorial approach, J. Neurosurg 2001, 94: 61-66
Brackmann D.E., Cullen R.D., Fischer L.M. - Facial nerve function after translabyrinthine vestibular schwannoma surgery. Am Otolaryngol Head Neck Surg 2007, 136: 773-777
Wandong S., Meng L., Xiangang L. et al. - Cystic acoustic neuroma, J.Clin Neurosci 2005, 12: 253-255
Acest document nu se poate descarca
| E posibil sa te intereseze alte documente despre: |
| Copyright © 2025 - Toate drepturile rezervate QReferat.com | Folositi documentele afisate ca sursa de inspiratie. Va recomandam sa nu copiati textul, ci sa compuneti propriul document pe baza informatiilor de pe site. { Home } { Contact } { Termeni si conditii } |
Documente similare:
|
ComentariiCaracterizari
|
Cauta document |