| Administratie | Alimentatie | Arta cultura | Asistenta sociala | Astronomie |
| Biologie | Chimie | Comunicare | Constructii | Cosmetica |
| Desen | Diverse | Drept | Economie | Engleza |
| Filozofie | Fizica | Franceza | Geografie | Germana |
| Informatica | Istorie | Latina | Management | Marketing |
| Matematica | Mecanica | Medicina | Pedagogie | Psihologie |
| Romana | Stiinte politice | Transporturi | Turism |
STUDII DE CAZ - CANCER PULMONAR
1. CAZURI CLINICE
CAZUL I. Nume: B. C.
Varsta: 43 ani
Sex: F
Mediul de provenienta: rural
Istoricul bolii: Boala a debutat in anul 2005 la nivelul pulmonului drept. Nu a existat o leziune preexistenta. Leziunea a aparut dupa 15 ani de fumat 20 tigarete/zi.
Examen clinic: tuse, diminuarea murmurului vezicular, expectoratie, dureri la inspir, radiologic opacitate perihilara pulmon drept diametru 5-6 cm, pleurezie dreapta bazala.
Simptome: tuse persistenta cu schimbarea caracterului, expectoratie de culoare socolatie, dispnee, subfebrilitate, inapetenta.
Investigatii de laborator: examen radiologic: opacitate perihilara pulmon drept diametru 5-6 cm, pleurezie secunadara dreapta .
Bronhoscopie cu biopsie: carcinom scuamos cu celula mare, invazie pleurala, celule cu frecvente mitoze atipice, anizocarie, anizocromie, cromatina granulara, nuclei intens hipercromi, mariti de volum, contur neregulat.
S-a procedat la excizia totala a tumorii la Institutul Oncologic Bucuresti cu evidarea ganglionilor parahilari.
Macroscopic : tumora de cca 8 cm diametru care porneste din hil si se extinde in periferie, aspect dur, nedelimitat, slaninos, cu zone de necroza centrala.
Aspectul macroscopic al se observa in figura de mai jos.
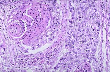
Microscopic: aspect de carcinom scuamos bronhopulmonar, prezentand cuiburi de celule poligonale cu citoplasma roz (Hex200) si limite celulare distincte. Nucleii sunt hipercromi si angulari (moderat diferentiat).
Imaginea microscopica este figurata mai jos:

Tratament
- imunoterapie cu IFN 3MUI s. c. de 3 ori pe saptamana timp de 2 ani;
- chimioterapie cu BNCU (Carmustina) in doze de 150 mg/m2 i. v. ziua 1 la fiecare 6 saptamani.
Evolutie: favorabila, revine la control la 3 luni
CAZUL II. Nume: P. C.
Sex: M
Varsta: 62 ani
Mediu de provenienta: urban
Istoricul bolii: A debutat in anul 2005. A existat o leziune (tbc pulmonar stang) aparut cu cativa ani in urma. Pacientul a fost diagnosticat la Institutul Oncologic Bucuresti cu neoplasm bronho-pulmonar apical superior stang in noiembrie 2005.
Examen clinic: tuse, diminuarea murmurului vezicular, expectoratie, dureri la inspir, radiologic opacitate perihilara pulmon drept diametru 7-9 cm situata la polul apical al pulmonului stang.
Simptome: tuse persistenta cu schimbarea caracterului, accentuata matinal, expectoratie de culoare socolatie, dispnee accentuata la efort, subfebrilitate, transpiartii nocturne, inapetenta scadere ponderala 15 kg in 3 luni.
Investigatii de laborator:
- biochimice - fosfataza alcalina marita;
- VSH crescut (120/1h)
- LDH marit;
- antigenele ras, myc, bcl2 prezente in sangele circulant .
Se practica examen radiografic care demonstreaza prezenta tumorii, confirmata apoi prin examen computer-tomografic - biopsie.
Macroscopic se prezinta ca o leziune tumorala cu diametrul de 11,5 cm (excizie pulmonara totala stanga) pe o zona de caverna tbc, neomogena, friabila cu limite indistincte, cu invazie locala masiva (Aceste caracteristici macroscopice sunt foarte bine evidente si in fotografia urmatoare):
Microscopic: aspect de carcinom scuamos spinocelular, in care se observa o zona de mai slaba diferentiere in dreapta imaginii de mai jos, iar in stanga sus o perla keratozica:
Tratament:
- chimioterapie cu Lomustina (CCNU) in doze de 100-300 mg/m2 p. o. o data la 3-6 saptamani;
- imunoterapie cu IFN 3MUI s. c. 7 zile pe saptamana urmat de 9MUI IL-2, timp de 6 saptamani dupa care se continua cu IFN 3MUI de 3 ori pe saptamana, timp de inca 4 saptamani.
Evolutie: defavorabila pentru ca a metastazat in ganglionii loco-regionali si dupa 6 luni de evolutie bolnavul a decedat.
CAZUL III. Nume: S. M.
Sex: M
Varsta: 58 ani
Mediu de provenienta: rural
Istoricul bolii: A debutat in anul ianuarie 2006. Nu au existat antecedente in familie, nu are trecut de fumator.
Examen clinic: Apare ca o formatiune tumorala nodulara, cu diametrul de 10 cm, forma neregulata, polilobata, cu punct de plecare in periferia pulmonului drept.
Simptome: dureri toracice drepte accentuate de efort si de decubit, tuse persistenta, expectoratie cus puta filanta aspect de suprainfectie, dispnee, subfebrilitate, inapetenta, transpiratii nocturne, scadere ponderala.
Radiologie: tumora exofitica de mari dimensiuni, cu punct de pornire subpleural drept, invaiza pleurei cu pleurezie metastattica, invazie in mediastinul subiacent. Se confirma computer-tomografic. Se practica lavaj bronsic cu citologie care evidentiaza aspecte citologice caracteristice carcinomului adeno-scuamos bronho-pulmonar.
Investigatii de laborator
- Sindrom biologic de impregnare neoplazica, cu cresterea VSH de 5 ori, factorii de inflamatie modificati (suprainfectie bacteriana).
- S-a facut excizie tumorala cu limita de siguranta in anestezie generala, evidare ganglionara.
- S-au facut tomografii in care s-au observat prezenta metastazelor cerebrale manifestate prin varsaturi, dureri de cap, tulburari de vedere, de echilibru, de vorbire, hemiplegie, afazie.
Biopsie:
Macroscopic aspectul este ca in figura de mai jos (piesa de necropsie, bolnavul nu a supravietuit interventiei chirurgicale): tumora de mari dimensiuni aderenta la trahee, pleura cu multiple metastaze, cu evolutie fulminanta.

Microscopic: aspect de adenocarcinom bronhiolo-alveolar, cu celule maligne proliferate de-a lungul septurilor si suprainfectie
CAZUL IV. Nume: P. C.
Sex: M
Varsta: 62 ani
Mediu de provenienta: rural
Istoricul bolii: Boala a aparut in la finele anului 2005. Pana in momentul prezentarii la medic nu a facut nici un tratament.
Examen clinic: tuse matinala, diminuarea murmurului vezicular mai accentuat pe dreapta, expectoratie dificila de culoare bruna, dureri la inspir in toracele stang, radiologic opacitate perihilara pulmon stang diametru 7 cm.
Simptome: tuse persistenta cu schimbarea caracterului, expectoratie de culoare socolatie, dispnee, subfebrilitate, inapetenta.
Investigatii de laborator
Computer tomografic: tumora neomogena de mici dimensiuni in lobul inferior pulmon stang.
S-a procedat la excizia totala a tumorii la Institutul Oncologic Bucuresti cu evidarea ganglionilor mediastinali.
Investigatii de laborator
- investigatii radiologice;
- tomografie;
- biopsie.
Biopsie:
Macroscopic: aspectul este cel prezentat in figura de mai jos:
Microscopic:
Carcinom cu celule mici (in bob de ovaz - oat cell carcinoma) asa cum este figurat mai jos (celule mici anaplazice, cu citoplasma redusa, dispuse in cordoane - HE x 200):
Tratament
- imunostimulatoare;
- citostatice: CBDCA (Carboplatin) in doze de 400 mg/m2 i. v. la fiecare 3 saptamani.
Evolutie: favorabila
2. STATISTICA SI INTERPRETAREA REZULTATELOR
Repartitia pe medii de provenienta a numarului total de cazuri de CBP in anul 2003
|
Anul |
Nr. total de cazuri |
Nr. cazuri in mediul urban |
Nr. cazuri in mediul rural |
|
2003 |
40 |
15 |
25 |

Dupa cum se poate observa incidenta este comparabila cu media statistica multianuala la nivel national si cu datele din literatura, egala intre cele 2 medii (rural/urban), frecventa cazurilor fiind legata de conditiile de mediu, ca stari favorizante ale aparitiei cancerului bronho-pulmonar, dar si un grad mai mare de prezentare la medic a acestor bolnavi. Ca dstributie se constata o mare variabilitate, ceea ce inseamna o lipsa de omogenitate a bolnavilor luati in studiu, datorita faptului ca s-au luat in discutie bolnavi prezentati in mod aleator la medic.
Repartitia pe grupe de varsta si medii de provenienta a cazurilor de CBP in anul 2003
|
Anul |
Sub 1 an |
||
|
Total cazuri |
Nr. cazuri in mediul urban |
Nr. cazuri in mediul rural |
|
|
2003 |
- |
- |
- |
|
Anul |
1 - 14 ani |
||
|
Total cazuri |
Nr. cazuri in mediul urban |
Nr. cazuri in mediul rural |
|
|
2003 |
- |
- |
- |
Lipsa oricaror cazuri la aceste grupe de varsta este oarecum neasteptata, mai ales pentru categoria 1-14 ani, cand expunerea la radiatiile solare este mai mare. Nu putem vorbi deci de tumori pulmonare la aceste grupe de varsta si nici de stari precanceroase favorizante la acest grup subpopulational.
|
Anul |
15 - 64 ani |
||
|
Total cazuri |
Nr. cazuri in mediul urban |
Nr. cazuri in mediul rural |
|
|
2003 |
15 |
10 |
5 |
Aceasta dsitributie semnifica situarea in parametrii inregistrati ca medie specifica nationala multianuala pentru categoria de varsta 15-64 ani. Adresabilitatea bolnavilor este mai putin buna decat in cazul altor tumori maligne, CBP avand dezavantajul ca este de obicei desoperit tardiv. Din nefericire prezenta leziunilor precanceroase determina intarzieri de diagnostic cu subdiagnosticare frecventa. Distributia omogenitatii arata o dispersie ridicata, parametrii fiind bruti si valorile lor neajustate, datorita modului aleator de selectare a lotului luat in studiu.

|
Anul |
Peste 65 ani |
||
|
Total cazuri |
Nr. cazuri in mediul urban |
Nr. cazuri in mediul rural |
|
|
2003 |
25 |
5 |
20 |
La lotul de bolnavi din categoria de varsta> 65 ani se inregistreaza valori mai mari decat cele inregistrate la nivel national, datorita unor fenomene nesemnificative statistic (pragul de sensibilitate al parametrilor testului t este sub valoarea 0,01). Se detaseaza grupul provenind din minele de suprafata, unde expunerea la factorii favorizanti care se suprapun peste fumat, ca si gradul mai scazut de educatie sanitara si igiena din mediul rural reprezinta factori favorizanti care explica aceasta distributie.

Repartitia pe medii de provenienta a numarului total de cazuri de de CBP in anul 2004
|
Anul |
Nr. total de cazuri |
Nr. cazuri in mediul urban |
Nr. cazuri in mediul rural |
|
2004 |
45 |
25 |
20 |

Se observa aceeasi incidenta, comparabila cu media statistica multianuala la nivel national si cu datele din literatura, distributia fiind egala intre cele 2 medii (rural/urban). Tendinta se pastreaza comparabila cu anul precedent. Ca dstributie se constata aceeasi mare variabilitate, datorita lipsei de omogenitate a bolnavilor luati in studiu si faptului ca s-au luat in discutie bolnavi prezentati in mod aleator la medic.
Repartitia pe grupe de varsta si medii de provenienta a cazurilor de CBP in anul 2004
|
Anul |
Sub 1 an |
||
|
Total cazuri |
Nr. cazuri in mediul urban |
Nr. cazuri in mediul rural |
|
|
2004 |
- |
- |
- |
|
Anul |
1 - 14 ani |
||
|
Total cazuri |
Nr. cazuri in mediul urban |
Nr. cazuri in mediul rural |
|
|
2004 |
- |
- |
- |
Acelasi aspect intalnit si pentru populatiile apartinand grupelor de varsta mentionate, ceea ce denota pastrarea trendului distributiei statistice. Este cazul sa ne bucuram ca aceste categorii de varsta nu sunt afectate.
|
Anul |
15 - 64 ani |
||
|
Total cazuri |
Nr. cazuri in mediul urban |
Nr. cazuri in mediul rural |
|
|
2004 |
19 |
14 |
5 |
Aceasta dsitributie semnifica situarea in parametri inregistrati ca medie specifica nationala multianuala pentru categoria de varsta 15-64 ani, ca si pastrarea tendintei inregistrate in anul precedent. Adresabilitatea bolnavilor se pastreaza in continuare mai buna decat in cazul altor tumori maligne, melanomul avand avantajul ca este situat la vedere, pe tegument. Distributia omogenitatii arata aceeasi dispersie ridicata, parametrii fiind bruti, ca si pentru anul precedent, iar valorile lor neajustate, datorita modului aleator de selectare a lotului luat in studiu.
|
Anul |
Peste 65 ani |
||
|
Total cazuri |
Nr. cazuri in mediul urban |
Nr. cazuri in mediul rural |
|
|
2004 |
26 |
11 |
15 |

La lotul de bolnavi din categoria de varsta > 65 ani se inregistreaza valori comparabile cu cel inregistrate la nivel national, datorita unor fenomene nesemnificative statistic. Se egaleaza distributia grupurilor provenind din mediul rural cu cel din urban, ceea ce denota o mai buna depistare din partea medicilor de familie din urban.
Repartitia pe medii de provenienta a numarului total de cazuri de CBP in anul 2005
|
Anul |
Nr. Total de cazuri |
Nr. Cazuri in mediul urban |
Nr. Cazuri in mediul rural |
|
2005 |
47 |
18 |
29 |

Per total se constata o neta preponderenta a cazurilor provenite din rural, cu o diferenta statistica globala semnificativa (pragul de semnificatie al testului t) ceea ce ma determina sa consider ca factorii favorizanti agregati in mediul rural si-au spus cuvantul.
Repartitia pe grupe de varsta si medii de provenienta a cazurilor de CBP in anul 2005
|
Anul |
Sub 1 an |
||
|
Total cazuri |
Nr. cazuri in mediul urban |
Nr. cazuri in mediul rural |
|
|
2005 |
- |
- |
- |
|
Anul |
1 - 14 ani |
||
|
Total cazuri |
Nr. cazuri in mediul urban |
Nr. cazuri in mediul rural |
|
|
2005 |
- |
- |
- |
Acelasi aspect al lipsei de cazuri la corelarea grupelor de varsta cu mediul de provenienta, relevant pentru buna prevenire si mai slaba incidenta statistica mentionata in literatura de specialitate.
|
Anul |
15 - 64 ani |
||
|
Total cazuri |
Nr. cazuri in mediul urban |
Nr. cazuri in mediul rural |
|
|
2005 |
25 |
13 |
12 |

O echilibrare a valorilor pentru aceasta categorie de varsta pe cele 2 medii de provenienta semnifica faptul ca nu au aparut factori de eroare care sa distorsioneze rezultatele inregistrate.
|
Anul |
Peste 65 ani |
||
|
Total cazuri |
Nr. cazuri in mediul urban |
Nr. cazuri in mediul rural |
|
|
2005 |
22 |
5 |
17 |

La aceasta categorie de varsta se inregistreaza clar valori mai mari decat media nationala multianuala, ceea ce dovedeste un profil caractersitic mai special al bolnavilor din judetul Arges pentru anul luat in studiu. In plus se observa o neta predominanta a bolnavilor provenind din mediul rural, unde factorii favorizanti care se suprapun peste fumat (TBC, igiena deficitara) isi spun din nou cuvantul.
Repartitia pe medii de provenienta a numarului total de cazuri de CBP in anul 2006
(pana in prezent)
|
Anul |
Nr. total de cazuri |
Nr. cazuri in mediul urban |
Nr. cazuri in mediul rural |
|
2006 |
29 |
17 |
12 |

Per total se constata din nou o usuoara preponderenta a cazurilor provenite din rural, cu o diferenta statistica globala nesemnificativa (pragul de semnificatie al testului t). In dinamica fata de anii anteriori se poate constata aceeasi tendinta, atat in valori absolute, cat mai ales in valori procentuale. Distributia din punctul de vedere al omogenitatii este caracterizata printr-o mare dispersie, datorita diferentelor semnificative intre parametrii luati in studiu in formarea loturilor (medii de provenienta si de lucru, varsta, sexul, modul de viata etc.).
Repartitia pe grupe de varsta si medii de provenienta a cazurilor de CBP in anul 2006
|
Anul |
Sub 1 an |
||
|
Total cazuri |
Nr. cazuri in mediul urban |
Nr. cazuri in mediul rural |
|
|
|
|
|
|
|
Anul |
1 - 14 ani |
||
|
Total cazuri |
Nr. cazuri in mediul urban |
Nr. cazuri in mediul rural |
|
|
2006 |
1 |
- |
1 |
Cazul singular intalnit la categoria de varsta 1-14 ani nu modfica practic cu nimic profilul inregistrat in anii precedenti, atat ca distributie cat si ca dinamica. Cazul provine din nou din mediul rural pe un teren tarat cu leziuni TBC preexistente si cu supraadaugarea factorilor agravanti mentionati care actioneaza preponderent.

|
Anul |
15 - 64 ani |
||
|
Total cazuri |
Nr. cazuri in mediul urban |
Nr. cazuri in mediul rural |
|
|
2006 |
19 |
8 |
11 |

Numarul de cazuri nou-inregistrate pentru anul 2003 in aceasta imagine rezultata prin coroborarea a 2 parametri (grupe de varsta cu mediul de provenienta) ne arata o situatie mai buna, desi asemanatoare procentula cu anii precedenti, cu mentiunea ca semnificatia statistica este neelecventa (prgul idicelui t nu depaseste valoarea 0,001). Distributia parametrilor variabilitatii este de acelasi tip, cu o mare dsipersie datorata modului aleator in care a fost constituit lotul luat in studiu.
Intre cele 2 medii de provenienta se observa un echilibru relativ, denotand o buna implicare in depistare a medicilor de familie, respectiv a medicilor specialisti.
|
Anul |
Peste 65 ani |
||
|
Total cazuri |
Nr. cazuri in mediul urban |
Nr. cazuri in mediul rural |
|
|
2006 |
10 |
7 |
3 |

La aceasta categorie de varsta se inregistreaza din nou valori net mai superioare mediei nationale multianuale, reconfirmand profilul caractersitic mai special mentionat si anterior, al bolnavilor din judetul Arges pentru 2 ani consecutiv (in dinamica). In plus se observa din nou o usoara predominanta a bolnavilor provenind din mediul rural, unde factorii favorizanti actioneaza cu pecadere. Dispersia se mentine si la acest lot la valori ridicate, datorita neomogenitatii lotului.
CONCLUZII
1.In ultimele doua decenii s-a observat o crestere foarte accentuata a incidentei CBP mai ales la populatii in . Din fericire aceasta crestere a incidentei nu a fost insotita de o crestere corespunzatoare a ratei de mortalitate. Cu toate ca rata de mortalitate este intr-o ascendenta mult mai "lina" decat incidenta, prognosticul bolii ramane rezervat. Cauza ratei crescute de mortalitate o constituie intarzierea diagnosticului.
2. Incidenta CBP in judetul Arges este comparabila cu media statistica multianuala la nivel national si cu datele din literatura de specialitate.
3. Un rol hotarator in prevenirea aparitiei CBP il are educatia sanitara a populatiei care trebuie sa cunoasca atat factorii de risc (in primul rand fumatul dar si leziunile preexistente de tip TBC) cat si toate semnele care ar putea anunta aparitia bolii (modificarea tusei, dispnee etc). Daca boala s-a instalat deja este importanta diagnosticarea corecta a ei si aplicarea unui tratament corespunzator.
4. CBP ramane o neoplazie cu nivele crescute de mortalitate, cu rezultate nesatisfacatoare in stadiile avansate, motiv pentru care continua sa reprezinte o preocupare permanenta de cercetare biologica pentru ca numai prin integrarea cu clinica se va realiza scopul ameliorarii rezultatelor terapeutice actuale.
BIBLIOGRAFIE
1. Schwarz M.I., Epstein P.E.: Pulmonary Medicine and Critical
care Knowlegde self - assessment Programe,
arlea A: Epidemiologia si factorii de risc in cancerul bronhopulmonar, ed. Horvat T, Dediu M, arlea A, Ed Universul,
Bucuresti 2000: 15-22.
3. Ghilezan N: Oncologia generala, Ed. Medicala, Bucuresti, 1992: 15-31.
4. Gherasim L (sub redac ie): Medicina Interna, volumul I, editia a II-a - Bolile aparatului respirator. Editura Medicala,Bucuresti, 2002, pag. 433-479.
5. Hert F.: Detection of very early lesions in lung Cancer:
It this important and should they be treated?
Postgraduate Course, ERS Annual Congress 2005, september 17-21,
6. Parkin
7. Greenlee RT, Murray T, Bolden S et al: Cancer statistics, 2000. Can Cancer J Clin 2000; 50: 7-33
8. Schottenfeld O: Etiology and epidemiology of lung cancer
in Lung Cancer. Principles and practice, 2nd edition;
9. Tweedie R, Mengersen K: Lung Cancer and Passive Smoking: Reconciling the Biochemical and Epidemiological Approaches. Br J Cancer 1992, 66: 700-705.
10.
11. Doll R, Peto R.: Mortality in relation to smoking: 20 years' observations on male British doctors, Br Med J 1976, 2: 1525.
12. Rogot E, Murray JL: Smoking and causes of death among US veterans: 16 years of observation. Public Health Rep 1980;15:213.
13. Ciuleanu T.E.: Carcinoamele bronhopulmonare: principii si practica. Editura Medicala Universitara "Iuliu Hatieganu.Cluj-Napoca, 2003; 2-74.
14. National Istitutes of Health. Respiratory Health Effects of Passive Smoking: Lung Cancer and Other Disorders.Monograph, 1993.
15. Stockwell H, Goldman A, Lyman Noss C, Armstrong E: Environmental Tobacco Smoke and Lung Cancer Risk in NonSmoking Women. J. Nat Cancer Inst 1992, 84:1417-1422.
16. Cancer Facts & Figures - 1995.
17. Edelman MJ,
18. Williams S, Goulet R, Thomas G: Newer aspects in the diagnosis, treatment and prevention of lung cancer. Current Problems in Cancer, 1996, XX; 3.
19. Tirmarche M, Raphalen A, Allin F, Chameaud J: Mortality of a cohort of French uranium miners exposed to relatively low radon concentrations. Br. J. Cancer 1993, 67: 1090-97.
20. Moolgavkar SH, Luebeck EH, Krewski D, Zielinski J: Radon, Cigarette Smoke and Lung Cancer: A Re-analysis of the Colorado Plateau Uranium Miners Data. Epidemiology 1993 : 204-217.
21. Ward E, Okun N, Ruder A, Fingerhut M, Steenland K: A Mortality Study of Workers at Seven Beryllium Processing Plants. Am J Int Med 1992, 22: 885-904.
22. Moulin JJ, Wild P, Mantout B, Fournier N,
23.
24.
25. Van Zandwijk M: Chemoprevention of lung cancer: from concept to reality, Annales Academiae Medicae Bialostocensis 2003, 48: 5-10.
26. Sperber M.: Radiologic Diagnosis of chest Disease, Ed. Spinger- Verlag, 1990, 422 - 439.
27. Grancea V.: Bazele radiologiei si imagisticii medicale, Ed Med Amaltea, 1996, pag. 105-109.
28. Heywang-Koebrunner SH., Lommatzch B., Fink V., et al: Comparison of spiral and conventional CT in the detection of pulmonary nodules. Radiology 189:263-266,1993.
29. Costello P., Anderson W., Blume D.: Pulmonary nodule: Evaluation with spiral volumetric CT, radiology 179:875- 876,1991.
30. Stradling P.: Diagnostic Bronchoscopy, sixth edition, Ed. Churchill Livingstone, 1991, pag. 114-142.
31. MacDougall B; Wenerman B. the value of sputum cytology. J Gen Intern Med 1992; 7:11-13
32. Egri G, Takats A. Related Articles, Links The immunodiagnosis of lung cancer with monoclonal antibodies. Med Sci Monit. 2005 Sep (9):RA296-300. Epub 2005 Aug 26.
33. Mulshine JL, Treston AM, Scott FM, Avis T, Cynthia B, Kasprzyk PG, Nakanishi Y, Cuttitta F. Lung cancer: rational strategies for early detection and intervention. Oncology 1991:5:25-32.
34. Tockman MS,
35. Mulshine JL, Henschke CI. Prospects for lung cancer screening. Lancet 2000; 355: 592-593.
36. Jett JR. Screening for Lung Cancer in High-Risk Groups:
Current Status of
37. Lam S, Palcic B, Gamer D, et al. Lung cancer control strategy in the new millennium. Lung Cancer 2000; 29:Suppl. 2,145.
38. Cooper EH, Splinter TAW, Brow DA. Evolution of a radioimmunoassay for neuron specific enolase in small cell lung cancer. Br. J. Cancer 1985; 52:333-8.
39. Pujol JL, Greiner J, Ray P., et al. Le Cyphra 21-1: un nouvean marqueur du cancer epidermoide des bronches: un comparison avec trois autres marqueurs. Presse Med. 1993; 22: 039-42.
40. Liu NS, Spitz MR, Kemp BL et al.: Adenocarcinoma of the lung in young patients. Cancer 2000; 88: 1837-41.
41. Lienert T, Serke M, Schonfeld N et al.: Lung cancer in young females. Eur Respir J, 2000; 16: 986-90.
42. Venmans B.J., van der Linden H., van Boxem T.J., et al. Early detection of preinvasive lesions in high-risk patients. A comparison of conventional flexible and fluorescence bronchoscopy. J BronchoI 1998 -3.
43. Khanavkar B.: Auto-Fluorescence (LIFE) Bronchoscopy in the diagnosis of Early Lung Cancer. Results of 400 Examinations and European Early Lung Cancer Study, Abstracts from symposium. Diagnosis and endobronchial management of early lung cancer, 1998, 12-14.
44. Miyazu Y., Miyazawa T., Iwamoto Y.,
45. Herth F., Becker H.D. EBUS for early cancer detection. J. Bronchol 2003;10:249-253.
Acest document nu se poate descarca
| E posibil sa te intereseze alte documente despre: |
| Copyright © 2025 - Toate drepturile rezervate QReferat.com | Folositi documentele afisate ca sursa de inspiratie. Va recomandam sa nu copiati textul, ci sa compuneti propriul document pe baza informatiilor de pe site. { Home } { Contact } { Termeni si conditii } |
Documente similare:
|
ComentariiCaracterizari
|
Cauta document |