| Administratie | Alimentatie | Arta cultura | Asistenta sociala | Astronomie |
| Biologie | Chimie | Comunicare | Constructii | Cosmetica |
| Desen | Diverse | Drept | Economie | Engleza |
| Filozofie | Fizica | Franceza | Geografie | Germana |
| Informatica | Istorie | Latina | Management | Marketing |
| Matematica | Mecanica | Medicina | Pedagogie | Psihologie |
| Romana | Stiinte politice | Transporturi | Turism |
Universitatea de Medicina si Farmacie Gr.T. Popa
Iasi
Facultatea de Bioiginerie Medicala
Master Bioingineria Reabilitarii
METODE DE REABILITARE IN PLEUREZIA
SERO-FIBRINOASA
Introducere
Respiratia este un fenomen vital .Toate fiintele au nevoie de oxigenul fara de care viata ar fi imposibila .Schimburile de gaze dintre organism si mediu se realizeaza prin procese fizico -chimice care au rolul de a asigura aportul necesar de oxigen si eliminarea de bioxid de carbon.
Se poate spune ca a respira inseamna a trai si deci a gandi ,a actiona ,a realiza tot ceeea ce are sens pentru viata .
Ritmurile vietii influienteaza direct ritmul respirator ,detemninand modificari ce oscileaza in acord cu viata, starea psihica , profilul activitatii ,mediu ,capacitatea de adaptare ,etc.
Datorita structurii muschilor respiratori (muschi striati ),aceasta functie care este vegetativa este singura care poate fi dirijata voluntar .
Omul poate relaxa sau contracta constient musculatura toracica ,determinand o marire sau o micsorare a cutiei toracice si realizand in acest fel un tip sau altul de respiratie sau oprind-o voit pentru un anumit timp .
Oprirea respiratiei are efecte asupra sistemului nervos vegetativ si deci si asupra functiei inimii si ,implicit a circulatiei.
Respiratia actioneaza asupra cailor aeriene,avand un efect stimulator asupra terminatiilor nervoase dispuse in mucoasa nazala ,ceea ce determina largirea bronhiilor si bronhiolelor ,inlesnind trecerea aerului spre alveolele pulmonare .Totodata ,aceasta functie intareste aparatul respirator ,conducand la o crestere a rezistentei fata
de cele mai diverse noxe si boli ,contractate mai ales in anotimpul rece .
Medicina moderna dispune de un intreg arsenal de mijloace terapeutice pentru bolile cardiovasculare ,dar trebuie sa precizam ca respiratia corecta este o cale eficineta de inlaturare a cauzelor ce provoaca imbolnavirea .Efectele respiratiei corecte sunt de necontestat ,deoarece ea actioneaza nu numai asupra unui organ ,ci si asupra intregului organism ,in functie ,bineinteles, de natura activitatii umane .Asa, de exemplu, un sedentar foloseste doar a zecea parte din capacitatea totala a plamanilor ,in schimb, in timpul unei plimbari,cantitatea de aer inhalat se mareste de doua ori si jumatate.Daca executa aceeasi plimbare pe munte ,se observa o crestere de zece ori a cantitatii de aer ventilat intr-un minut ,iar daca inoata,cresterea este de douazeci de ori fata de capacitatea pulmonara .
Aparatul respirator isi mareste mult capacitatea functionala datorita posibilitatilor lui de adaptare permanenta la solicitarile crescande . Adaptarea este cu atat mai eficienta ,cu cat organismul este mai bine pregatit,sub raport fizic si al starii de sanatate ,pentru a raspunde acestor solicitari .
Calea sigura in pregatirea organismului ,in general ,si a functiei respiratorii ,in special ,o reprezinta procesul concretizat ,in cazul de fata ,prin gimnastica respiratori ,care urmareste folosirea rationala a intregii musculature implicate in actul respirator in vederea maririi capacitatii vitale si asigurarii unei ventilatii pulmonare optime .
Gimnastica respiratorie vizeaza,in principal ,educarea sau reeducarea respiratorie ,folosind metode si mijloace specifice .Prin intermediul unor exercitii se asigura :imbunatatirea functiei respiratorii ,concretizata in cresterea miscarilor respiratorii (toracice si diafragmatice ) ; prevenirea,corectarea si tratarea unor afectiuni ale aparatului respirator ,in special,si ale organismului ,in general ; stimularea circulatiei sangvine .
In procesul de educare a respiratiei trebuie sa pornim de la un principiu de baza al medicinei ,si anume ; Primum non nocere.Acest principiu trebuie sa constituie linia de conduita in raporturile dintre educator ; pe de o parte ,si subiect pe de alta parte .Gimnastica respiratorie ,fiind inclusa in sistemul disciplinelor cu caracter instructiv- educativ ,se conduce dupa principiile generale ale acestora ,dar imbraca forme particulare inpuse de specificul activitatii ,de scopul pe care il urmarim si de efectele pe care dorim sa le obtinem prin dirijarea corecta si concreta a sistemului de mijloace .
Lucrand cu copilul tanar sau adult -barbat sau femeie ,om sanatos sau bolnav ,se cer a fi individualizate metodele si sistemul de mijloace pentru a obtine un randament optim.Individualizarea are ca scop o serie de factori ,dintre care amintim :motivatia subiectilor : starea de sanatate sau de boala a aparatului respirator :mijloacele de utilizare in diferite etape de educare sau de reeducare a respiratiei .
In stransa concordanta cu acesti factori apare continuitatea ,ca un principiu ce guverneaza intreaga activitate .Ea poate fi asigurata in conditiile in care actiunile sunt esalonate in functie de obiectivele urmarite .In acest sens ,tehnicile de lucru trebuie insusite logic si gradat ,iar aplicarea lor in practica dobandeste caracter sistematic si permanent in etapa de initiere in '' arta respiratiei '',dobandirea priceperilor si deprinderilor de a actiona corect ,concret si constient se realizeaza ca o trasatura care ,in contextul intregului sistem de munca ,asigura premisele continuitatii .
Gradarea actiunilor urmeaza legile generale ale adaptarii treptate a organismului la variatiile de intensitate ale efortului in diferite etape .Ea impune trecerea de la usor la greu ,de la simplu la complex si constituie o regula de baza a principiului accesibilitatii .In cazul nerespectarii acestui principiu ,actiunile gimnasticii respiratorii nu numai ca isi pierd efectul benefic ,dar pot deveni nocive organismului .Atunci cand se creeaza conditii optime pentru respectarea acestor principii ,dar se recurge la sisteme de actionare limitate si la modele de lucru rigide ,fara a asigura valabilitatea acestora ,apar premisele ca gimnastica respiratorie sa devina un act contemplativ,pierzandu-si caracterul activ si constient .Variabilitatea metodelor si mijloacelor permite ca subiectul sa actioneze ,impulsionat de caracterul divers al acestora si sa participe cu placere la noile actiuni de educare sau reeducare pe plan respirator .Tot ceea ce este facut sub forma variata ,mai ales sub forma de joc sau de intrecere cu sine ,deci de autodepasire permanenta ,asigura indeplinirea obiectivelor propuse .
In procesul de educare sau reeducare a respiratiei ,realizarea obiectivelor este conditionata de alegerea si aplicarea unor metode si mijloace adecvate ,etapa de pregatire ,cerintele concrete ale adaptarii organismului la diferitele solicitari si la rezultatele spre care tindem .
Se folosesc frecvent, ca metode de instruire ,explicarea ,demonstrarea si repetarea actiunilor .Urmand linia precizata de stiintele pedagogice ,in cadrul gimnasticii respiratorii se respecta toate indicatiile cu privire la continutul acestor metode .Trebuie avut insa in vedere ca aplicarea lor in acest domeniu se face tinand seama de unele cerinte ;
-explicarea si demonstrarea actiunilor sa fie legate de modalitatile de dirijare a coloanei de aer si de angrenare segventiala a grupelor de muschi :
-actiunile se repeta intre anumite limite .Se urmareste ca in timpul efortului sa se intercaleze pauze de odihna pentru a asigura refacerea capacitatii de lucru :
-in raport de tipul si procedeul folosit ,de afectiunile intalnite ,metodele se adapteaza particularitatilor subiectului .
O alta metoda cu o larga aplicabilitate in gimnastica respiratorie este relaxarea .Ea creeaza conditii optime pentru cresterea eficientii aplicarii sistemului de metode si mijloace in educarea sau reeducarea respiratiei .
Exercitiile de respiratie permit ca aceasta functie sa poata fi stapanita ,dirijata si controlata de fiecare subiect .Prin intermediul exercitiior se pot dirija voluntar ritmul ,durata si amplitudinea miscarilor respiratorii In gimnastica respiratorie se obtin efecte diferentiate prin intermediul exercitiilor de ''respiratie statica ''si al exercitiilor de ''respiratie dinamica''.Exercitiile de ''respiratie statica'' se constituie din respiratii voluntare asociate cu miscari ale trunchiului ,abdomenului si membrelor inferioare si superioare .
Exercitiile de respiratie statica vizeaza ;
-formarea deprinderii de a respira corect ;
-mobilizarea generala a cutiei toracice ;
-mobilizarea diafragmului si tonifierea musculaturii abdominale ;
-tonifierea grupelor musculare implicate in actul respirator ;
-localizarea actiunilor cu influente asupra unui anumit segment de la nivelul cutiei toracice sau diafragmului ;
-obtinerea unor efecte corespunzatoare asupra mecanicii respiratorii prin relaxarea muschilor respiratori ..
Acestea se ''calesc prin intermediul tipurilor si procedeelor de respiratie ,intrucat in educarea sau reeducarea acestei functii ,ele se constituie ca puncte de sprijin in asigurarea caracterului evolutiv al actiunilor intreprinse .
Tipurile fundamentale sunt natural constituite .O remarca aparte facem pentru tipul corect de respiratie ,care se elaboreaza prin combinarea celor trei tipuri fundamentale si pe care il intalnim numai in actiunile constiente dirijate .Procesele respiratorii se alcatuiesc pe temelia tipurilor de baza de respiratie si au ca trasatura definitorie modalitatile de introducere si evacuare a aerului in si din plamani .
Desi sunt doua faze de baza ,inspiratia si expiratia ,posibilitatile de manevrare a acestora sunt multiple .In stabilirea structurii procedeului respirator ,apneea voluntara are un loc si un rol bine determinat .Existenta acesteia este legata de durata si pozitia pe care le ocupa in actul respirator ,fapt ce evidentiaza caracteristicele procedeului respectiv .
Exercitiile de'' respiratie dinamica ''se caracterizeaza prin actiuni la care participa intregul organism ,ceea ce conduce la cresterea necesitatii de oxigen si deci la intensificarea respiratiei .Aceste exercitii sunt indispensabile in procesul de educare a respiratiei ,deoarece ele contribuie la cresterea capacitatii functionale respiratorii .
In reeducarea respiratiei ,insa ,exercitiile de''respiratie dinamica '' se executa sub control de specialitate si numai in anumite limite si la anumite nivelui de recuperare .
Gimnastica respiratorie consta in coordonarea si amplificarea cu vointa a miscarilor de respiratie libere ,precum si din stimularea si antrenarea respiratiei prin miscari pasive ,active si active cu rezistenta .
Fiind o activitate care are ca obiect de studiu omul ,respectiv functia de respiratie ,ea urmareste ca in sfera sa de infuienta sa fie inglobate toate aspectele legate de aceasta functie .
Existenta principiilor ,metodelor,procedeelor specifice si a mijloacelor adecvate scopului contureaza pe deplin gimnastica respiratorie ca o disciplina cu largi posibilitati de influientare ,atat asupra omului sanatos ,aflat in prim proces de evolutie ,la maturitate sau la senectute ,cat si asupra omului suferind ,ce cauta un sprijin in tehnicile de recuperare a functiei respiratorii afectate .
PLEUREZIA SERO-FIBRINOASA TUBERCULOASA
Definitie
Pleurezia sero-fibrinoasa tuberculoasa este definita ca acumulare de lichid in cavitatea pleurala ca rezultat al localizarii de leziuni specifice tuberculoase la acest nivel; ea reprezinta cea mai frecventa determinare pe seroase a tuberculozei.
Etiopatogenie
Sub aspect etiopatogenetic, pleurezia tuberculoasa trebuie considerata in special, ca o manifestare a tuberculozei adultului. Este cel mai frecvent intalnita la adultul tanar, cand poate constitui revelatia unei primoinfectii. Frecventa pleureziei ca manifestare a primoinfectiei tardive este de aproximativ 20%. Cu cat varsta la care apare pleurezia este mai mare, cu atat etiologia tuberculoasa este mai putin probabila. Coexistenta cu determinari pulmonare active sau inactive impune eticheta de pleurezii tuberculoase "de insotire', apartinand stadiului secundar.
Calea de patrundere a germenilor la nivelul pleurei este fie hematogena, fie limfatica, fie prin contaminare sau chiar deversare de continut cazeos de la un focar subpleural.
Studiile anatomopatologice, precum si tomografia computerizata au demonstrat existenta unor focare cazeoase mici, subpleurale, in timpul dezvoltarii pleureziei tuberculoase, focare neevidentiate de catre radiologia conventionala, dar care constituie foarte probabil prin ruperea lor sursa cea mai frecventa de bacili pentru cavitatea pleurala.
Leziunile miliariforme de la nivelul pleurei s-ar explica prin capacitatea structurilor pleurale de a fagocita bacilii, realizand insamantari multiple, asemanatoare cu cele determinate de diseminarea hematogena.
Riscul de a face o tuberculoza pulmonara dupa un interval de 2-5 ani in cazul in care o pleurezie nu a fost tratata corect este cuprins intre 25% si 50%.
Pleurezia care apartine stadiului secundar al ftiziei recunoaste in special un mecanism de diseminare din aproape in aproape si eventual deversare de continut cazeos in cavitatea pleurala.
Anatomie patologica
Elementul morfopatologic principal este constituit de foliculul tuberculos, care este insotit de o reactie inflamatorie pleurala importanta. Vizualizarea cavitatii pleurale permite evidentierea a numeroase granulatii gri-albicioase, repartizate uniform pe toata pleura, cu localizare foarte neta in santul costovertebral. Frecvent apar bride si aderente in stadii mai avansate, modificarile isi pierd din specificitate aparand reactii inflamatorii congestive, cu depozite fibrinoase importante, uneori hemoragice. Lichidul din cavitatea pleurala este serocitrin, mai rar hemoragic.
Microscopic, pleura apare in buna parte denudata, prin distrugerea stratului mezotelial. Stratul conjunctivo-vascular submezotelial apare hiperemiat si acoperit cu depozite de fibrina. La nivelul plamanului, juxtapleural, se pot evidentia leziuni active tuberculoase. Vindecarea se poate realiza prin resorbtia lichidului, cu posibilitatea de restitutio ad integrum.
Pahipleuritele constituite influenteaza functia respiratorie prin tulburarile de distensibilitate pulmonara; ele pot fi de asemenea cauza dezvoltarii unei fibroze interstitiale parenchimatoase pulmonare si a bronsiectaziilor.
DIAGNOSTIC CLINIC
Debutul pleureziei tuberculoase este in general acut, dar la aproximativ 30% din cazuri se intalneste un debut insidios in aceasta ultima situatie, simptomatologia se reduce la dureri toracice de intensitate medie, eventual fatigabilitate, inapetenta, tuse seaca si scadere in greutate. Debutul subacut sau insidios este cu atat mai frecvent cu cat varsta la care apare pleurezia este mai inaintata.
Cel mai frecvent, manifestarile acute sunt precedate de o perioada de astenie, subfebrilitate, fatigabilitate, tuse seaca, scadere in greutate, diminuarea apetitului, constituind asa-zisa "faza de impregnare bacilara'.
Durerea (junghiul), initial puternica, are tendinta la diminuare odata cu acumularea lichidului; ea are toate caracterele durerii pleurale: modificare cu respiratia, tusea si pozitia. Pacientii pot adopta o pozitie antalgica, spre partea bolnava, pentru a reduce miscarile costale. Pentru aceleasi motive pacientii prefera sa se culce pe partea bolnava.
Febra constant intalnita in cazul debutului acut, scade progresiv dupa 2-3 saptamani sau chiar mai rapid. In cazul debutului insidios, ascensiunile termice sunt constante, valorile fiind in general sub 38°C. De fapt, evolutia favorabila a febrei sub tratamentul tuberculostatic este uneori unicul sau singurul argument etiologic.
Tusea in general uscata, se exacerbeaza adesea cu modificarea pozitiei bolnavului.
Dispneea, este in relatie directa cu volumul revarsatului pleural.
Semnele fizice - matitatea, abolirea murmurului vezicular si a vibratiilor vocale - atesta prezenta lichidului in cavitatea pleurala. Cand volumul lichidului este mediu, se poate percepe suflu pleuretic, de obicei spre limita superioara a revarsatului pleural. Frecaturile pleurale pot aparea fie in faza initiala preexsudativa, fie in perioada de resorbtie. In faza preexsudativa frecaturile sunt insotite de durere, pe cand in faza de resorbtie durerile sunt estompate.
De obicei hemitoracele de partea bolnava are miscari mai reduse, fie datorate durerilor, fie desolidarizarii peretelui toracic de parenchimul pulmonar prin interpunerea epansamentului.
Bombarea hemitoracelui de partea bolnava este intalnita la pacientii cu revarsat pleural in cantitate mare. In aceasta situatie pot fi prezente deplasarea mediastinului si cordului si eventual matitate in spatiul Traube.
DIAGNOSTIC PARACLINIC
Investigarea imagistica a pleurei
Prima investigatie realizata obligatoriu la toti pacientii cu suspiciune de pleurezie este o radiografie toracica postero-anterioara, realizata in ortostatism.
In pleureziile cu lichid liber in marea cavitate pleurala, lichidul se acumuleaza la partea inferioara a hemitoraxului, el avand o densitate mai mare decat cea a pulmonului. Grosimea lamei de lichid scade pe masura ce ne indepartam de baza. Pe masura ce cantitatea de lichid acumulata intrapleural creste, apare o opacifiere a sinusurilor costo-diafragmatice, initial vizibila la nivelul sinusului costo-diafragmatic posterior pe o radiografie de profil. Existenta unor sinusuri costo-diafiragmatice normale pe radiografia de profil exclude practic diagnosticul de epansament pleural lichidian. Este necesara o acumulare de aproximativ 100-200 ml pentru ca acest semn sa apara. Ulterior, apare opacifierea sinusurilor costo-diafragmatice laterale (dupa acumularea a aproximativ 300-500 ml lichid). Radiografia toracica standard postero-anterioara nu este foarte sensibila pentru detectarea cantitatilor mici de lichid, acesta acumulandu-se initial intrapulmonar. Pentru ca un epansament pleural sa fie clar vizibil pe o radiografie de fata el trebuie sa fie de cel putin 300 ml.
Pe dreapta este uneori necesara o acumulare de peste 500 de ml, inainte ca el sa determine o obliterare a sinusului costo-diafragmatic. Prezenta de astfel de epansamente pleurale in cantitate mica sau medie acumulata intrapulmonar este sugerata de o ridicare a
hemidiafragmului respectiv, o grosime a diafragmului de peste 2 cm (acest semn poate fi utilizat numai pe partea stanga cand se masoara distanta intre camera cu aer a stomacului si plaman); varful cupolei diafragmatice este situat mai lateral decat ar trebui (in treimea laterala a hemidiafragmului si nu in centrul sau); sinusul, costo-diafragmatic este mai scurt; pe stanga, apare o opacitate triunghiulara retro-cardiaca data de acumularea para- mediastinala de lichid.
In toate aceste situatii, pe radiografia toracica de profil apare o opacifiere neta a sinusului costofrenic posterior, desi pe radiografia de fata sinusurile costofrenice laterale sunt aparent normale; de asemenea, marea scizura care este de obicei vizibila este impinsa anterior si devine convexa pe masura ce se apropie de diafragm.
Pe masura ce lichidul se acumuleaza, pe radiografia toracica de fata opacitatea bazala determinata de lichid este limitata superior de o linie concava superior si intern, denumita linia Iui Damoiseau. In acumularile masive de lichid se observa o impingere progresiva a mediastinului. Atractia mediastinului poate fi prezenta in cazurile de tumori pulmonare in lobii inferiori care "fixeaza mediastinul'
Toate aceste elemente de semiologie radiologica sunt valabile pentru radiografiile luate in ortostatism. Este extrem de difícil a face diagnosticul de pleurezie pe o radiografie facuta in decubitus cum este cazul la majoritatea pacientilor gravi, in urgente, sau a celor din terapie intensiva. In aceste situatii pot fi confundate cu imaginile de condensare parenchimatoasa (de exemplu cu o pneumonie). Elementele de semiologie radiologica care permit diferentierea acestor doua entitati sunt: in pleurezii, elementele vasculare pulmonare raman vizibile, densitatea opacitatii pleurale este omogena iar limitele ei nu sunt nete; cupola diafragmatica este prost delimitata iar bronhograma aerica este absenta.
Diagnosticul radiologic al unei pleurezii in cantitate mica cu lichid liber in cavitatea pleurala poate fi facut daca se realizeaza o radiografie toracica in decubitus lateral. Se observa o crestere a grosimii aparente a peretelui toracic datorata lichidului.
In cazul existentei de aderente intre pleura parietala si cea viscerala, apar epansamente pleurale inchistate de aspect pseudotumoral, simuland opacitati rotunde.
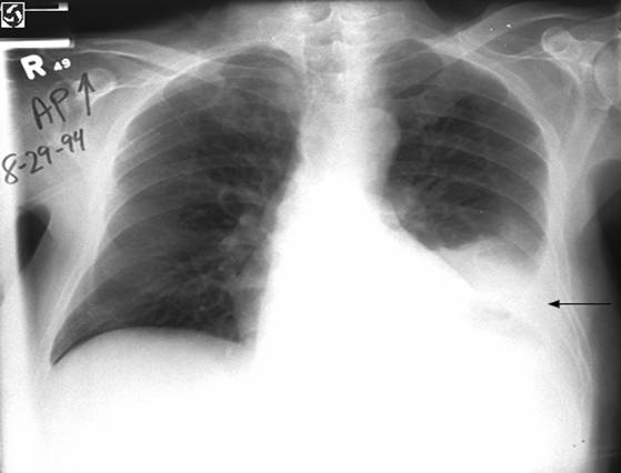
Aspecte radiologice in pleurezia tuberculoasa
Fig. 8 Radiografie toraco-pulmonara PA -Pleurezie stanga
Opacitate de intensitate mare ce ocupa 1/2 inferioara hemitorace stang cu limita superioara usor concava superior si intern; opacitate de dimensiuni mici situata median in parenchimul pulmonar la nivelul LIS.
Mediastin in pozitie mediana. Cardiomegalie.
Ecografia pleurala
Realizarea unei ecografii pleurale este utila, ea precizand exact caracterul lichidian al opacitatii detectate pe radiografia standard, precum si zonele de contact cu peretele toracic unde se poate realiza punctia. Ecografia pleurala este utila la pacientii cu pleurezii in cantitate mica sau cu pleurezii inchistate si in epansamentele sub-pulmonare.
Este important ca in aceste situatii punctia pleurala sa fie realizata imediat dupa efectuarea ecografiei pulmonare, deoarece odata cu schimbarea pozitiei bolnavului rapoartele epansamentului pleural, fie el si inchistat cu pielea, se pot modifica si punctia pleurala sa fie alba. Ecografia poate fi utilizata si pentru pozitionarea de mici tuburi de dren in pleureziile inchistate, pentru a asigura un drenaj pleural eficace, evitandu-se astfel gesturi mai invazive, cum ar fi decorticarea pleurala.
Nu este insa utila in evaluarea pneumotoraxului.

Fig. 11 Aspecte ecografice ale pleureziei sero-fibrinoase tuberculoase
Tomodensitometria
Tomografia computerizata are o utilitate limitata in evaluarea pacientilor cu epansamente pleurale lichidiene. Desi tomografia computerizata poate, eventual, distinge intre o masa pleurala solida si o pleurezie inchistata, ea nu poate distinge, cu suficienta precizie, diferitele tipuri de lichid (seros, sange sau puroi), punctia pleurala ramanand necesara.
Fig. 12 Aspecte tomografice ale pleureziei
tuberculoase.
INTRADERMOREACTIA LA TUBERCULINA
Testarea Cutanata Tuberculinica
Consta in injectarea intradermica de antigene din MTB (derivat de proteine purificate = purified protein derivative, PPD), care provoaca o reactie de hipersensibilitate intarziata ce consta in acumularea locala de celule mononucleare (limfocite si fagocite mononucleare) exprimata macroscopic printr-o zona de induratie la locul injectarii. Este folosita numai pentru diagnosticul infectiei tuberculoase; nu poate face diferenta intre prezenta infectiei latente si prezenta bolii tuberculoase active. PPD este standardizata la nivel international.
Intradermoreactia la tuberculina este obligatorie la toti pacientii cu o pleurezie exsudativa, intradermoreactia la tuberculina poate sa fie negativa in faza acuta a formarii lichidului pleural. Daca pacientul nu este anergic dintr-o alta cauza ea se pozitiveaza insa in majoritatea cazurilor in urmatoarele 2 luni. O intradermoreactie negativa nu exclude deci cu certitudine pleurezia tuberculoasa si necesita repetarea acesteia.
Prezenta unei intradermo reactii pozitive la un pacient cu o pleurezie exsudativa fara alta orientare diagnostica, dupa o investigare atenta necesita, de obicei, debutarea tratamentului tuberculostatic.
PUNCTIA PLEURALA
Punctia pleurala este obligatorie deoarece:
- confirma prezenta lichidului;
- da informatii asupra caracterului lichidului pleural (punctie exploratorie);
- permite evacuarea lichidului pleural cand este necesar (punctie evacuatorie).
Investigatia paraclinica a lichidului pleural
Pentru lichidele hemoragice se va efectua sistematic un hematocrit. Uneori, diferentierea intre lichidele sero-hemoragice si hemotorax poate fi dificila, sangele avand o putere de colorare foarte mare. In general, lichidele sero-hemoragice au un hematocrit mai mic de 5 %. Consideram ca este vorba de un hemotorax, daca hematocritul in lichidul pleural este de cel putin 50% din valoarea sa din sange sau, cel putin 20 % in valoare absoluta. Sangele extras in hemotorax coaguleaza, de obicei, spontan, spre deosebire de lichidele sero-hemoragice. Hematocritul permite si evaluarea volumului sanguin pierdut si care trebuie inlocuit prin transfuzie. Uneori, in hemoragiile acute, pacientii sunt sever hipovolemici si hematocritul nu a avut timp sa scada. Evaluarea hematocritului pleural permite astfel evaluarea necesitatilor de transfuzie in urmatoarele ore. Diagnosticul de hemotorax implica obligatoriu un consult de chirurgie toracica (sau, in lipsa, un consult de chirurgie generala, de catre un medic obisnuit cu urgentele traumatice). Drenajul se impune sistematic, uneori fiind necesara o toracotomie exploratorie.
Lichidele lactescente vor beneficia de un dozaj al colesterolului si al trigliceridelor (si eventual al chilomicronilor), pentru diferentierea intre chilotorax si pseudochilotorax. O valoare a trigliceridelor superioara la 110 mg/l pune diagnosticul de chilotorax. Lichidele turbide cu aspect laptos trebuie sa fie supuse centrifugarii, deoarece o parte din lichidele laptoase au acest aspect datorat detritusurilor celulare. Prin centrifugare, aceste lichide (care sunt de fapt empieme), se limpezesc, contrar chilotoraxului si pseudochilotoraxului, care raman laptoase.
Lichidele sero-citrine beneficiaza de o evaluare mai amanuntita din puncte de vedere paraclinic.
Prima intrebare la care trebuie sa raspundem este daca este vorba de un lichid exsudativ sau transsudativ. Diferentierea intre aceste doua entitati se poate face analizand urmatorii parametri: densitate, LDH si continutul in proteine (tabelul 1).
Tabel 1. Criterii de diferentiere intre transsudat si exudat ("criteriile lui Light')
|
Parametru |
Transsudat |
Exudat |
|
Proteine totale |
<30g/I |
>30g/I |
|
Raport proteine pleurale/proteine serice |
< 0,5 |
> 0,5 |
|
LDH pleural |
< 200 U |
> 200 U |
|
LDH pleural/LDH seric |
< 0,6 |
> 0,6 |
Densitatea specifica
Densitatea lichidului este mai mica la lichidele transsudative. Densitatea lichidelor sero-citrine depinde, in principal, de continutul lor proteic. O valoare de sub 1,015 g/ml corespunde de obicei la un continut proteic de sub 30g/l.
Aceasta determinare este putin utilizata in practica, deoarece este doar o masura indirecta a continutului de proteine, masurare care este facila si ieftina. In plus, masurarea densitatii lichidului pleural este mai putin fiabila decat dozarea proteinelor.
Proteinele pleurale
Determinarea directa a proteinelor totale in lichidul pleural este disponibila in general in orice laborator si este usor de facut si ieftina. De obicei un lichid cu peste 30g/l este un exudat, iar sub 20g/l un transsudat. Intre cele doua valori, proportia de transsudat si exudat este aproximativ egala, cu o predominenta usoara a transsudatelor. Trebuie sa avem in vedere ca o parte din pacienti sunt denutriti si au valori reduse ale proteinelor in ser. In aceste conditii o indicatie mai fiabila este data de raportul dintre proteinele din lichidul pleural si proteinele serice. Un raport de sub 0,5 este caracteristic transsudatelor, peste aceasta valoare fiind vorba de exudate.De asemenea trebuie sa fim vigilenti la pacientii cu etiologii transsudative care sunt sub tratament (de exemplu, insuficienta cardiaca sub tratament cu diuretice). La acestea resorbtia lichidului se face mai rapid decat cea a proteinelor si putem transforma astfel un transsudat intr-un fals exudat.De aceea, preferam ca punctia unui lichid pleural suspectat a fi transsudativ sa se faca la internare, daca nu exista o contraindicatie relativa importanta pentru acest gest. In urma unei punctii traumatice un transsudat se poate contamina cu sange (cu un continut proteic ridicat), modificand artificial clasificarea lichidului.
Valorile pleurale ale lactat dehidrogenazei cresc la pacientii cu pleurezii exudative la valori de peste 2/3 din valorile normale serice sau 0,6 din valorile serice reale. Dozarea acestei enzime este utila in diferentierea transsudat/exudat, atunci cand celelalte criterii nu sunt contributive. Uneori acesta este singurul criteriu prin care se face clasificarea.
Glicopleuria
Dozarea glucozei in lichidul pleural este utila pentru diagnosticul pleureziei tuberculoase, a pleureziei asociata poliartritei reumatoide, a pleureziilor parapneumonice si a pleureziilor maligne. In aceste boli valorile glicopleuriei sunt de obicei mai mici de 0,60-0,80 g/l, in unele cazuri fiind inferioare valorii de 0,10 g/l Valorile reduse ale glicopleuriei in pleureziile parapneumonice, inferioare la 0,4 g/lm arata un risc crescut de evolutie spre empiem. Aceste revarsate pleurale trebuie sa fie drenate rapid si complet.
Adenozin dezaminaza
Studiile clinice au aratat ca valorile crescute ale adenozin dezaminazei (peste 30UI/1) sunt foarte sugestive pentru diagnosticul de pleurezie tuberculoasa. Totusi, valoarea, exacta a acestui test ramane inca sa fie stabilita (nu se cunosc exact sensibilitatea si specificitatea). Dozarea acestei enzime poate fi utila in cazurile care preteaza la discutie si cand o investigatie mai invaziva (biopsie pleurala sau toracoscopie) nu se poate realiza.
Acidul hialuronic
Valori crescute ale acidului hialuronic in lichidul pleural (peste 0,8-1 mg/ml) au fost gasite la pacientii care prezentau un mezoteliom malign. Acest test pare a avea o foarte buna specificitate, dar o sensibilitate modesta. Utilizarea lui in practica clinica nu este recomandata de rutina, fiind necesare evaluari suplimentare.
Amilazele
Dozarea amilazelor poate fi utila in diferentierea epansamentelor pleurale care insotesc o pancreatita. Valori crescute ale amilazelor sunt intalnite si in rupturile esofagiene cu fistula pleurala (amilaze de origine salivara). In aceste doua patologii nivelul amilazelor este mult crescut. O crestere moderata a amilazelor poate fi intalnita si in pleureziile maligne.
PH-ul pleural
Masurarea pH-ului este utila in special in evaluarea pleureziilor parapneumonice. In aceste situatii, un pH inferior la 7 arata ca lichidul se va transforma intr-o pleurezie purulenta in aproape toate cazurile. Un pH intre valorile de 7 si 7,20 arata un risc crescut de evolutie spre empiem. Pacientii care au un pH sub 7 necesita in toate cazurile un drenaj pleural prin pleurotomie minima.
Pacientii cu un pH intre 7-7,20 nu necesita, dupa Light, un drenaj sistematic, dar in aceste cazuri, este probabil utila o punctie evacuatorie. Pacientii care au un pH al lichidului pleural superior la 7,20 nu evolueaza, de obicei spre empiem. Toate lichidele pleurale purulente, puriforme sau cu risc de evolutie spre empiem, vor beneficia de un drenaj pleural eficace cu un tub de calibru suficient.
O scadere a pH-ului pleural este de asemenea intalnita in acidoze, pH-ul pleural fiind, ceva mai crescut decat pH-ul sanguin. El este, de asemenea, scazut in hemotorax, in revarsatele pleurale maligne, tuberculoase sau in cele asociate cu artrita reumatoida si rupturile esofagiene. In rupturile esofagiene, pH-ul scade, probabil ca urmare a infectiei spatiului pleural. In aceasta patologie, putem intalni valori foarte scazute ale pH-ului pleural, uneori inferioare de 6, insa, o asemenea valoare nu trebuie sa fie considerata ca fiind diagnostica pentru rupturile esofagiene. Un pH scazut sub 7,20 este intalnit si in hemotorax, fara sa se cunoasca explicatia certa a acestui fapt. Valori similare pot fi intalnite in epansamentele tuberculoase si in cele maligne, insa acest element este inconstant si nu permite un diagnostic diferential. Astazi se considera ca pH-ul nu are nici o valoare in evaluarea acestor doua tipuri de epansamente pleurale.
Valorile pH-ului pleural sunt scazute in cazurile de artrita reumatoida, cu valori inferioare la 7,20, spre deosebire de epansamentele pleurale din lupusul eritematos sistemic, cand acestea sunt superioare valorii de 7,35. Deci, pH-ul poate fi un element orientativ in evaluarea unui epansament pleural asociat unei maladii de sistem care nu este definitiv catalogata.
Factorul reumatoid
Factorul reumatoid este crescut la pacientii cu artrita reumatoida seropozitiva. Valori superioare fata de 1:320 sunt sugestive pentru aceasta boala insa, valori ceva mai reduse pot fi intalnite si la pacientii cu pleurezii maligne sau parapneumonice.
Celulele lupice
Cea mai mare parte a lichidelor pleurale la pacientii cu lupus eritematos sistemic contin celule lupice. Uneori, aceste celule sunt puse mai usor in lichidul pleural decat in sangele periferic. Punerea in evidenta a celulelor lupice in lichidele pleurale este evocatoare pentru o pleurezie asociata lupusului eritematos sistemic. Punerea in evidenta a celulelor lupice in lichidul pleural este mai facila daca inainte de examinare lichidul este lasat mai multe ore la temperatura camerei. Acest examen este indicat numai in cazul in care suspiciunea de lupus eritematos sistemic este mare.
Complementul si complexele imune
Valori reduse ale complementului sunt intalnite in artrita reumatoida si lupusul eritematos diseminat, atat pentru complementul total, cat si pentru fractiunile sale.
El trebuie dozat doar in situatii speciale in care celelalte mijloace de diagnostic sunt epuizate si cand o boala sistemica este suspicionata ca fiind etiologia epansamentului pleural. Valori ale CH50 inferioare la 10U/ml, sau ale C4 mai mici decat 10x10-5 U/g proteine, sunt sugestive pentru artrita reumatoida sau lupusul eritematos sistemic. Nivelele de complexe imune variaza in functie de testul utilizat si nu aduce informatii suplimentare fata de masurarea complementului. De aceea, ele nu trebuie dozate decat in situatii de cercetare.
Examene diverse
Imunelectroforeza este, in principiu, utila, pentru a identifica antigeni bacterieni si a stabili astfel, mai rapid decat culturile bacteriene, etiologia pleureziilor parapneumonice. Avantajul acestui examen este ca el ramane pozitiv, chiar dupa demararea antibioterapiei. De asemenea, el pare ceva mai sensibil decat frotiul Gram si culturile bacteriene. In marea majoritate a pleureziilor de natura infectioasa, sunt insa implicati germeni anaerobi pentru care nu exista antigeni pentru utilizarea clinica curenta. Acest examen este rezervat, mai ales pentru cercetarea clinica.
Celularitatea lichidului pleural
La nivelul lichidului pleural putem intalni celule figurate ale sangelui, mezotelii descuamate, precum si celule neoplazice secundare invaziei pleurale directe.
Prezenta de hematii este frecventa, la nivel pleural, chiar daca lichidul nu are un aspect macroscopic hematic. Numaratoarea hematiilor, cu valori de sub 50.000 - 100.000 c/mm3 nu da nici un fel de indicatie diagnostica sau prognostica. Lichidele hemoragice au un hematocrit de cel putin 1,5 - 2 %. Pentru a retine diagnosticul de hemotorax este nevoie ca hematocritul sa fie de cel putin 20% sau mai mare decat jumatate din hematocritul sanguin.
Celulele seriei albe
Lichidele pleurale contin celule ale seriei albe in proportie variata. De obicei, transsudatele au o componenta celulara redusa de mai putin de 1000 c/mm.3. Acest numar poate fi uneori de peste 5000 c/mm3. Cele mai celularizate lichide sunt cele parapneumonice, empiemele, pleureziile asociate emboliei pulmonare si cele secundare unei patologii subdiafragmatice.
Formula leucocitara este utila in orientarea diagnostica a pleureziilor cu lichid clar. Realizarea unei formule leucocitare se face, de obicei, dupa centrifugarea lichidului, din cauza numarului redus de celule.
Neutrofilele se acumuleaza in toate procesele inflamatorii acute si sunt primele celule care pot fi gasite la nivel pleural. Nu este rar ca o prima punctie, in cazul unei pleurezii tuberculoase, sa arate o predominenta de neutrofile, pentru ca apoi celularitatea sa fie dominata de limfocite. Neutrofilele raman cele mai frecvente celule in pleureziile parapneumonice, pancreatite, abces subfrenic, embolie pulmonara.
O limfocitoza pleurala de peste 50 % se intalneste in pleureziile tuberculoase si in cele maligne. Pleureziile tuberculoase tind sa aiba o limfocitoza mai importanta, fara ca acest element sa poata fi considerat o indicatie diagnostica. Limfocitele predomina de asemenea in cazul limfoamelor si leucemiilor limfatice cronice. In majoritate, tipul de limfocite intalnit in lichidul pleural este tipul T (70 - 80%). Predominenta de celule B orienteaza catre o patologie limfoproliferativa (limfom, LLC).
Eozinofilele pot fi si ele intalnite la nivel pleural. Valoarea diagnostica a eozinofiliei pleurale trebuie cantarita cu atentie, din cauza faptului ca patrunderea de sange la nivel pleural, precum si de aer, ca urmare a punctiilor repetate, pot genera o eozinofilie moderata (de pana la 10%), in cadrul hemotoraxului, o eozinofilie poate aparea tardiv, dupa aprox. 2 saptamani de evolutie. Eozinofilele pot fi intalnite in pleureziile de cauza parazitara (chist hidatic, ascarizi), fungice, actinormicoza, in pleureziile medicamentoase sau uneori in limfoame. Dupa Light, prezenta unei eozinofilii face diagnosticul de tuberculoza sau de pleurezie maligna improbabil..
Macrofagele pot fi prezente la nivel pleural. Uneori, ele fagociteaza cantitati importante de detritusuri celulare si iau un aspect de inel cu pecete, putand fi confundate cu celulele neoplazice. Uneori, ele sunt prezente in lichidele tuberculoase, fara sa constituie un criteriu de diagnostic cert al acestora.
Celulele mezoteliale
Celulele mezoteliale sunt prezente, in mod normal, in lichidul pleural, ele putand uneori sa fie confundate cu celulele neoplazice.
Celulele tumorale
Examenul citologic pentru cautarea celulelor tumorale este unul din cele mai utile examene ale lichidului pleural. Acuratetea (sensibilitate si specificitate) examenului citologic
Depinde de cantitatea de lichid, de modul de prelucrare, de tipul histologic al tumorii si de experienta citologistului. Lichidele pleurale pentru citologie trebuie prelucrate rapid dupa punctie, din cauza modificarilor celulare ce apar cu timpul si care pot da false aspecte de neoplazie. Este bine sa fie facute atat o citologie pe lama, cat si o includere in parafina, dupa centrifugarea lichidului. De asemenea, este util sa se examineze cel putin trei probe de la recoltari separate. Sensibilitatea citologiei difera foarte mult de tipul histologic al tumorii, fiind mai mare la adenocarcinoame, de exemplu. De asemenea, trebuie avut in vedere ca pacientii cu neoplasme dovedite pot avea si alte cauze care sa dea epansamente pleurale (insuficienta cardiaca, embolie pulmonara, infectii pulmonare etc). Tiparea histologica a tumorii este rareori posibila pe o citologie simpla, astfel ca, in cazul unei citologii pozitive, medicul va cauta, in functie de contextul clinic, leziunea primitiva intr-un numar de cazuri - uneori pana la 20% (in functie de mijloacele utilizate pentru diagnostic) aceasta leziune primara ramane necunoscuta.
Investigatiile bacteriologice
Examenul lichidului pleural trebuie completat de o analiza bacteriologica, care trebuie sa includa un frotiu Gram, o cultura pentru germeni piogeni, un frotiu Ziehl Nielsen si o cultura pentru micobacterii (pe medii solide si/sau lichide). Examenul frotiului Gram este util in cazurile de empiem sau pleurezii parapneumonice. In cazurile in care este pozitiv, el da indicatii utile pentru adaptarea tratamentului antibiotic. Insa, trebuie tinut seama ca, in aceste cazuri, sunt implicate foarte frecvent bacterii anaerobe (care nu vor creste pe mediile obisnuite, ci necesita medii specifice), si care trebuie acoperite de antibioterapia aleasa. Examenul direct pentru bacili acido-alcoolo rezistenti este rareori pozitiv (in mai putin de 10% din cazuri). Culturile pe medii lichide sau solide sunt ceva mai sensibile, dar doar in jur de 20% din cazuri pot fi confirmate bacteriologic prin examenul direct si culturile din lichidul pleural.
In cazurile de pneumotorax vechi putem intalni un epansament lichidian moderat, de obicei, de tip exsudativ (pneumotoraxul "are picioarele in apa'). O parte dintre aceste epansamente pleurale asociate pneumotoraxului pot fi suprainfectate, ca urmare a existentei unei fistule bronhopleurale, sau a tentativelor repetate de exuflatie. Acelasi aspect era intalnit in cadrul pneumotoraxului terapeutic pentru tuberculoza. In sfarsit, acelasi aspect de hidropneumotorax poate fi intalnit in empieme ca urmare a fistulelor bronhopleurale.
BIOPSIA PLEURALA
Biopsia pleurala asociata cu insamantarea unui fragment de tesut pe medii specifice pentru cultura BK, creste procentul de depistare a pleureziilor tuberculoase la 50-80 %. Biopsia pleurala «oarba» are un bun randament diagnostic, deoarece leziunile pleurale in pleurezia tuberculoasa sunt de obicei difuze. Light arata ca examenul anatomopatologic si cultura din fragmentele bioptice aduc diagnosticul in aproape 80% din cazuri in special daca sunt efectuate 2 -3 biopsii succesive.
Toracoscopia este metoda cea mai eficienta de obtinere a biopsiilor pleurale, randamentul diagnostic fiind de aproape 100% din cazuri.
DIAGNOSTIC POZITIV
Diagnosticul pleureziei tuberculoase se bazeaza deci pe o evaluare clinica atenta (in special a factorilor de risc pentru infectia tuberculoasa si factorilor de risc pentru reactivarea acesteia, argumente importante pentru infectia sau contactul tuberculos recent - sub 1an) si pe argumente citologice si bacteriologice date de examenul citologic si cultura lichidului pleural. Desi in tarile cu incidenta crescuta a tuberculozei, pleurezia tuberculoasa este cea mai frecventa cauza de pleurezie exsudativa, trebuie incercata obtinerea unei confirmari histologice si/sau bacteriologice prin biopsia pleurala. Indicatia acestor examene invazive o constituie cu precadere pleureziile care au un IDR negativ (sau care raman negative dupa a doua testare) si cele care au putine celule mezoteliale si limfocite in lichidul pleural.
FORME CLINICO-ETIOLOGICE
A. Pleurezia TBC
Reprezinta cea mai frecventa localizare seroasa a TBC.Trebuie suspectata la pacientii tineri care prezinta urmatoarele simptome (sindromul de impregnatie bacilara):
- subfebrilitate/febra;
- transpiratii nocturne;
- inapetenta;
- astenie;
- scadere ponderala;
Diagnosticul de certitudine il pune biopsia pleurala, examenul microscopic evidentiind foliculi TBC.Aceasta investigatie se face rareori, de aceea diagnosticul de pleurezie TBC se pune in toate cazurile de pleurezie fara o etiologie evidenta dar la care contextul clinic sugestiv si prezenta de limfocite >80% in exudat sunt suficiente pentru initierea tratamentului tuberculostatic.
B. Pleurezia neoplazica
Evolueaza de obicei cu lichid in cantitate mare, de aspect sero-hematic sau hemoragic si cu tendinta de refacere rapida dupa evacuare.
C. Pleurezia din pneumonii
Este de obicei unilaterala, evolueaza in context clinico-biologic sugestiv si are tendinta la inchistare.
DIAGNOSTIC DIFERENTIAL
Manifestarile clinico-radiologice nespecifice precum si informatiile relative pe care le furnizeaza explorarea paraclinica, in cazul in care nu s-a obtinut confirmarea bacteriologica sau histologica, reclama un diagnostic diferential foarte riguros.
Debutul pleureziei tuberculoase, mai frecvent insidios la varsta peste 40 ani, obliga la diferentierea, in primul rand, de pleurezia neoplazica cu care poate fi adesea confundata.
Elementele de diferentiere sunt multiple, in afara existentei tumorii primare. Astfel, pleurezia neoplazica evolueaza cu o cantitate de lichid mai mare, care se reface rapid dupa evacuare, nu prezinta febra sau subfebrilitate decat exceptional, lichidul este frecvent hemoragic, iar citologia poate pune in evidenta frecvente mezotelii alterate si celule neoplazice, tratamentul tuberculostatic este ineficient si boala merge catre agravare treptata, eventual cu dureri progresive.
Dintre multiplele date de diferentiere, refacerea rapida a lichidului este adesea primul semn care sugereaza etiologia neoplazica. Practica administrarii corticoterapiei inainte de obtinerea certitudinii diagnostice este, de cele mai multe ori, o sursa de eroare, intrucat toate pleureziile, indiferent de etiologie, se resorb in faza initiala sub corticosteroizi. Administrarea de corticosteroizi asociati cu tuberculostatice, in acest caz, intarzie precizarea diagnosticului.
Dintre pleureziile infectioase, cele secundare infectiilor cu Mycoplasma pneumoniae, Chlamidii si Rickettsii se preteaza cel mai des la confuzia cu pleurezia tuberculoasa, intrucat pot evolua insidios, cu lichid nu prea abundent, si cu predominanta limfocitelor in lichid.
Debutul initial acut intr-un context epidemic sugestiv, serologia pozitiva pentru mycoplasma, chlamidii sau rickettsii, eventual cultivarea germenilor din lichidul pleural, precum si evolutia favorabila sub eritromicina sau tetraciclina, elucideaza diagnosticul.
Pleureziile cardiace prin discretia manifestarilor si caracterele macroscopice ale lichidului si chiar biochimice si citologice, pot fi confundate cu pleurezia tuberculoasa. Acestea apar insa in contextul unei cardiopatii cunoscute sau avansate (insuficienta cardiaca), sunt de obicei bilaterale si dispar sub tratament tonicardiac si diuretic.
Dintre pleureziile de origine subdiafragmatica, pleureziile de origine pancreatica se localizeaza de obicei pe partea stanga, coexista cu simptomatologia pancreatica, sunt mai frecvent hemoragice, iar amilaza pleurala este crescuta, depasind cu mult valorile sanguine.
Determinarile pleurale din colagenoze pot crea un tablou clinic confundabil cu cel al pleureziei tuberculoase, dar aspectul clinic este mai zgomotos, revarsatele sunt adesea bilaterale, de obicei de volum mic, si sunt prezente semne de afectare si a altor aparate sau organe (piele, rinichi, articulatii). In lupusul eritematos sistemic se pun in evidenta celule lupice in lichidul pleural. In poliartrita reumatoida glicopleuria este sub 0,30 g/l. Testele imunologice (celule lupice, anticorpi antinucleari, anticolagen, complexe imune etc.) transeaza diagnosticul.
EVOLUTIE
Pleurezia tuberculoasa poate evolua spontan favorabil, de obicei lasand sechele de tipul simfizelor sau pahipleuritelor fibroase sau fibrocalcare.
Uneori, sechelele sunt descoperite cu ocazia unui control radiologie, fara ca pacientul sa poata semnala antecedente pleurale.
Sub tratament tuberculostatic evolutia este in general favorabila cu resorbtia totala a lichidului in 2-3 saptamani, dar sechelele chiar in aceste conditii nu sunt deloc neglijabile.
Transformarea purulenta a lichidului pleural, rara in conditiile unui tratament corect, era frecventa in epoca preantibiotica.
Pleurezia tuberculoasa netratata, sau tratata incorect, chiar daca evolueaza favorabil, prezinta un risc ftiziogen remarcabil, 25-30% din pacienti facand o tuberculoza pulmonara in urmatorii 2 ani.
TRATAMENT
Obiectivele principale ale tratamentului se refera la:
1) resorbtia rapida a lichidului
2) prevenirea sechelelor si a determinarilor tuberculoase pulmonare sau in alte organe;
3) asigurarea unei functii pulmonare normale.
Mijloacele terapeutice prin care se realizeaza obiectivele tratamentului sunt: medicatia tuberculostatica, medicatia antiinflamatoare si kineziterapia. Fiind vorba de o manifestare tuberculoasa, tratamentul tuberculostatic se impune, fiind elementul terapeutic principal. Tratamentul pleureziei serofibrinoase nu difera in principiu, ca schema si mod de aplicare, fata de cel al tuberculozei active, urmarind vindecarea cat mai rapida a focarelor tuberculoase, pleurale, pulmonare sau extrapulmonare, contemporane pleureziei. In cazul in care pacientul este BK la examenul sputei, criteriile din programul DOTS al OMS recomanda incadrarea pacientilor in regimul III de tratament, cu doar trei tuberculostatice:rifampicina(R)
hidrazida (H), pirazinamida (Z) primele 2 luni, zilnic, urmata de 4 luni cu asocierea RH in administrare bisaptamanala. Avand insa in vedere incidenta rezistentei primare la izoniazida (peste 4% in multe zone), este prudent sa incadram acesti pacienti in categoria I de tratament cu 4 tuberculostatice: RHSZ (rifampicina, hidrazida, streptomicina, pirazinamida) sau RHEZ (rifampicina, hidrazida, etambutol, pirazinamida) 7/7 -2 luni, urmata de RH 3/7 - 4 luni (rifampicina, hidrazida).
Durata tratamentului de 6 luni este apreciata ca suficienta.
O alta problema terapeutica o reprezinta necesitatea unei corticoterapii la acesti pacienti. Avantajele presupuse ale unei corticoterapii orale in tratamentul pleureziilor tuberculoase ar fi o resorbtie mai rapida si diminuarea sechelelor pleurale tardive. Tratamentul corticoterapic aduce insa si complicatii proprii (digestive, osoase, oculare) mai ales cand este realizat prelungit. Studiile clinice au aratat o resorbtie mai rapida a pleureziei si o diminuare a pahipleuritei la sfarsitul tratamentului tuberculostatic, dar acest beneficiu nu se pastreaza la un 1 an cand ambele categorii de pacienti (cu si fara corticoterapie) au evolutii similare.
Indicatia corticoterapiei in pleureziile tuberculoase este restransa astazi la pacientii cu diagnostic cert de tuberculoza pleurala, sub tratament eficient si care, sub tratament tuberculostatic , raman febrili sau au o stare generala profund alterata.
In aceste cazuri tratamentul corticoterapic reduce durata febrei si grabeste recuperarea clinica .Doza de corticosteroizi este de aproximativ 0,5 mg /kg/zi de echivalent de prednison (sau 1 mg/kg/zi o data la doua zile). Durata corticoterapiei este variabila dar 2-3 saptamani sunt de obicei suficiente.
Spre deosebire de pericardita tuberculoasa si de meningita tuberculoasa unde eficacitatea corticoterapiei este demonstrata, utilizarea corticoterapiei de rutina la pacientii cu pleurezie nu aduce un beneficiu cert pe termen lung si nu este recomandata.
Kineziterapia
Kineziterapia corect aplicata poate avea o eficacitate mai mare in prevenirea sechelelor anatomice si functionale decat corticoterapia. Miscarea activeaza circulatia, accelereaza resorbtia lichidului si previne fixarea pleurelor prin simfizare.
Kineziterapia se incepe imediat ce fenomenele acute sau remis si resorbtia lichidului este evidenta. Ea consta in miscari care au ca obiectiv reeducarea musculaturii respiratorii. Kineziterapia se continua inca 2-3 saptamani dupa resorbtia lichidului si consta in miscari profunde de respiratie, respiratie abdominala, flectarea trunchiului spre partea sanatoasa.Pe langa tratament antiinflamator, adesea este nevoie, mai ales in formele cu debut acut de tratament simptomatic.
In faza initiala, acuta, simptomul dominant este durerea, necesitand administrarea de analgezice clasice sau chiar opiacee in cazuri deosebite. Administrarea de antitusive are ca obiectiv principal sedarea durerii. Dispneea datorata acumularii unei cantitati de lichid nu poate fi combatuta decat prin punctie evacuatorie.
Punctia evacuatorie reprezinta un gest terapeutic si trebuie efectuata cat mai precoce. Cand cantitatea de lichid este mai mare, se extrage lichid pana cand pacientul incepe sa tuseasca sau sa prezinte senzatia de constrictie toracica. Acesta este semnul ca in cavitatea pleurala presiunea a scazut pana in jur de 20 ml apa sub presiunea atmosferica. Evacuarea peste aceasta limita modifica presiunea pleurala putand sa provoace cresterea ulterioara a lichidului.
Aplicatiile gimnasticii respiratori in afectiunile pleurale
Foitele parietale si viscerale prezinta o mare sensibilitate la raceli ,congestii si inflamatii .Prezenta anormala a unei cantitati de lichid intre cele doua pleure determina aparitia durerii, ceea ce conduce la jena respiratorie .Pentru a suporta mai usor durerile ,bolnavii iau de cele mai multe ori pozitii antalgice care favorizeaza aderente pleurale .
Reeducarea respiratiei in pleurezii.
Rolul gimnasticii respiratorii in pleurezii este bine conturat .O data cu resorbtia lichidului si reducerea durerii se instituie programul de reeducare respiratorie .Precocitatea introducerii programului este in functie de evolutia bolii .In acest sens se urmareste ;
-adoptarea unei cure de pozitie adecvate (decubit lateral pe partea sanatoasa )pentru prevenirea formarii aderentelor ;
-facilitarea alunecarii pleurelor prin grabirea resorbtiei lichidului :
-reexpansionarea pulmonului colabat ;
-asigurarea functionalitatii diafragmului ,pe cat posibil ,in limite normale ;
-imbunatatirea motilitatii cutiei toracice ;
-asigurarea unei stari generale a organismului .
Programul de lucru este in raport cu evolutia bolii si cu particularitatile pe care le prezinta bolnavul .In stransa coordonanta cu acestea ,reeducarea respiratorie este esalonata pe patru stadii bine definite ca structura ,si anume : stadiul I- corespunde fazei evolutive ; stadiul II-corespunde fazei de rezorbtie :stadiul III-fazei de tranzitie si stadiul IV-fazei de reantrenare la efort .
Stadiul I .In plan terapeutic ,alaturi de tratamentul medicamentos ,gimnastica respiratorie se constituie ca o parte integranta a acesteia.
Se previne constituirea sinfizelor si retractiilor costale in conditiile in care bolnavul isi modifica pozitia .Aceasta determina ca exudatul sa se deplaseze continuu ,evitandu-se localizarea lui in sinusul costo-diafragmatic posterior .
In aceasta faza bolnavul ,pentru a limita miscarile respiratorii dureroase ,adopta pozitii de decubit lateral pe partea bolnava .Ori in acest caz se favorizeaza formarea simfizei prin fixarea hemidiafragmului intr-o pozitie inalta .Pentru a degaja sinusul costo-diafragmatic sint indicate urmatoarele pozitii ;decubit lateral pe partea sanatoasa :decubit semiventral :decubit semidorsal .
Programul de recuperare functionala
Pozitia de lucru :bolnavul la pat ,in pozitie de decubit dorsal ,cu picioarele intinse sau cu genunchii indoiti :decubit lateral pe partea sanatoasa .
Actiuni :sub supravegherea kinetoterapeutului ,bolnavul executa inspiratie activa dar de o amplitudine moderata ,intrucat cresterea amplitudinii declanseaza durerea :expiratia este lenta ,prelungita ,efectuata in mod progresiv .Actiunea se repeta de 4-5 ori .Dupa o pauza care la inceput este mai mare ,se reia lucru ,dar se schimba pozitia .In noile conditii se incearca amplificarea limitata a inspiratiei ,in timp ce expiratia se pastreaza in aceleasi limite .
Programul are o durata ,de cateva minute ,dar se repeta de cateva ori pe zi .Prin aceste exercitii se urmareste o mobilizare progresiva a respiratiei si deci si a grupelor musculare implicate in actul respirator .Astfel se contribuie la imbunatatirea ventilatiei pulmonare ,atat la nivelul bazelor si varfurilor plamanului ,cat la nivelul hemitoracelui afectat .
Exercitiile din cadrul programului sunt efectuate cu aceeasi intensitate ,pana cand se constata ca lichidul a fost resorbit aproape in totalitate ,iar curba termica se stabileste in limite normale .
Evolutia actiunilor recuperatorii se evalueaza prin urmatorii indici de apreciere :
-Evolutia curbei termice ;orice puseu termic releveaza ,de obicei ,cresterea cantitatii de lichid in cavitatea pleurala .
-Examenul radiologic :radiografia sau radioscopia pulmonara permit aprecierea obiectiva a nivelului de lichid .
-VSH :o evolutie pozitiva se prezinta cu valori in descensiune .
-Starea generala a bolnavului :indicatorul prin intermediul careia se apreciaza modul in care a suportat influienta programului recuperator .
Concluzii:
-Programul de gimnastica respiratorie se efectueaza in salon ,la patul bolnavului
-Pozitia de lucru se adopta in functie de partea afectata .
-Efortul este redus ca intensitate .
-Se urmareste in permanenta evolutia indicilor de apreciere ,iar interpretarea lor se face in colaborare cu medicul .
Stadiul II.Pornind de la realitatea oferita de starea generala a bolnavului cat si de ceilalti indici de apreciere ,se trece de la lucru la pat ,la lucru in sala de gimnastica medicala .Desi sinusul costo-diafragmatic mai prezinta lichid ,pulmonul fiind in parte degajat ,putem actiona cu mai multa fermitate in directia reeducarii functiei respiratorii.Totusi prin resorbtia lichidului ramane intre pleure fibrina ,ce poate fi localizata pe zone largi sau se prezinta sub forma de puncte de aderenta .Consecutiv acestei situatii ,apar unele perturbari ,cum ar fi :hipoventilatia pulmonara de partea afectata :modificari costo-diafragmatice ; hipofunctia musculaturii pe partea afectata ;deviatii ale coloanei vertebrale in plan frontal etc.
Program de recuperare functionala
Pozitii de lucru ;decubit ,asezat ,stand .Din pozitia decubit dorsal cu genunchii indoiti se executa exercitii de respiratie pentru reeducarea diafragmului in totalitate .In decubit lateral pe partea bolnava se reeduca hemidiafragmul de partea respectiva .In functie de localizarea lichidului ,anterior sau posterior ,se pot adopta urmatoarele pozitii :decubit ventral pentru partea anterioara a diafragmului si decubit dorsal pentru partea posterioara a diafragmului .Din decubit lateral pe partea sanatoasa ,cu sau fara saculete de nisip sub hemitorace ,se executa respiratii localizate la nivel costal Din asezat se actioneaza asupra diafragmului ,astfel : prin indoirea laterala spre partea sanatoasa se ofera conditii optime pentru ca miscarile de respiratie ,pe partea afectata ,sa aiba amplitudine mult sporita .Din stand se executa miscari ce contribuie la mobilizarea hemitoracelui si hemidiafragmului afectat .Miscarile sunt asimetrice ,fapt impus de solisitarile adresate pacticii urmeaza a fi recuperata functional .
Pentru a obtine rezultate favorabile si pentru a aprecia obiectiv evolutia bolii si a adaptarii bolnavului la programul recuperator ,acest stadiu este divizat in doaua etape .Fiecare etapa are un scop bine precizat si anume :etapa I urmareste mobilizarea diafragmului ,iar etapa II mobilizarea hemitoracelui si hemidiafragmului .
Etapa I. In aceasta etapa accentul se pune pe adaptarea bolnavului la lucru in sala si pe participarea constienta si activa la actiunile de reeducare a respiratiei .Deci unele respiratii ating pragul dureros ,prin permanenta informare asupra evolutiei fiecarui moment din cadrul etapei respective ,bolnavul trebuie sa inteleaga si sa coopereze cu profesorul .O atentie deosebita se cuvine a se acorda insusirii unor notiuni despre relaxarea grupelor musculare .Transpunerea in practica a acestor notiuni favorizeaza inlaturarea miscarilor incordate prin dirijarea lor corecta si efectuarea lor cu un consum minim de energie fizica si nervoasa .
Exercitii pentru reeducarea respiratiei in pleurezie localizata la nivelul hemitoracelui drept
1.Decubit dorsal ,genunchi indoiti ,o mana pe abdomen ,cealalta pe regiunea sternala :inspiratie pe nas cu bombarea abdomenului :expiratie pe gura cu retragerea acestuia .Mainele au rol de autocontrol .
2.Decubit lateral pe partea dreapta ,genunchi indoiti ,barbia in piept ,mana stanga pe abdomen,cealalta pe hemitoracele stang ;respiratie de tip diapfragmatic .Pozitia favorireaza mobilizarea hemitoracelui drept prin cresterea mobilitatii lui .
3.Decubit dorsal ,trunchiul inclinat spre stanga,mana dreapta sub cap ,stanga pe abdomen ; respiratie de tip diafragmatic.
4.Decubit ventral cu o perna sub piept ; respiratie de tip diafragmatic.
5.Decubit dorsal pe patul basculat ,genunchii indoiti ,inspiratie ;trecerea sub orizontala ,expiratie .Respiratii de tip diafragmatic .
In acest fel este usurata mobilizarea diafragmului prin deplasarea viscerelor in jos prin pozitia decliva cu capul in sus ,iar in expiratie prin pozitia decliva cu capul in jos ,in care diafragmul se remonteaza pasiv .
6.Acelasi exercitiu pe patul basculat ,dar din decubit lateral dreapta,genunchii indoiti .Se actioneaza asupra hemidiafragmului de aceeasi parte
7.Pe genunchi sprijinit pe palme :respiratie de tip diafragmatic .
8.Decubit dorsal ,respiratii ample cu scop linistitor .
Acest program se utilizeaza pana cand bolnavul isi insuseste tehnica respiratorie de tip diafragmatic si o executa corect .
Etapa a-II-a ,de mobilizare a hemitoracelui si hemidiafragmului drept .In aceasta etapa cooperarea constituie un obiectiv caruia kinetoterapeutul trebuie sa-i acorde toata atentia ,sa-i gaseasca noi valente in care tactul si maiestria pedagogica sa asigure reusita procesului de recuperare .In arsenalul de mijloace al gimnasticii respiratorii apar exercitii cu autorezistenta si cu rezistenta externa ,fapt ce asigura gradarea actiunilor .In timpul inspiratiei bolnavul trebuie sa aiba la un nivel ridicat de dirijare a coloanei de aer spre hemitoracele afectat ,cunoscut fiind ca inspiratia reprezinta suportul pe care se cladeste recuperarea functionala in pleurezii .In conditiile in care in timpul sau dupa programul de lucru apar dureri violente la nivelul hemitoracelui ,se menajeaza bolnavul 1-2 zile .
O data cu insusirea tehnicii respiratiei diafragmatice si cu pregatirea corespunzatoare sub raport general ,se trece la un alt program de lucru .
I.Decubit lateral pe partea stanga ,genunchi indoiti ;respiratii de tip costal inferior ,localizate la nivelul hemitoracelui drept .
II.Aceeasi pozitie ,cu un saculet cu nisip sub hemitoracele stang :respiratii de tip costal inferioare localizate .Saculetul cu nisip are rol de a mari amplitudinea miscarilor respiratorii.
III.Decubit dorsal ,genunchii indoiti ,un saculet cu nisip pe abdomen :respiratie de tip diafragmatic ,cu rezistenta.
IV.Asezat pe scaun spatele sprijinit de spatar :respiratii diafragmatice controlate .
V.Asezat pe scaun ,spatatele sprijinit de spatar ,cu un brau (fular ,esarfa )incrucisat pe baza toracelui ,apucat de capete :respiratii dirijate spre hemitoracele drept .
VI.Stand departat ,mainele pe solduri ,indoire laterala spre stanga cu inspiratie lenta :revenire cu expiratie .Acelasi exercitiu cu ridicarea bratului drept .Se executa de trei ori spre stanga si o data spre dreapta .
VII.Stand departat , cu un baston la spate ,apucat de capete ;rasucirea trunchiului spre stanga ,inspiratie :revenire cu expiratie .Se executa de trei ori spre stanga ,o data spre dreapta .
VIII.Stand departat ,cu un brau incrucisat pe abdomen ,apucat de capete ;respiratii diafragmatice dirijate catre hemidiafragmul drept .
IX.Decubit lateral pe partea stanga ,genunchii indoiti ,cel drept asezat mai in fata pe saltea, un saculet cu nisip sub hemitorace, bratul drept in prelungirea corpului ,cel stang cu palma pe hemitorace ,bratul drept in prelungirea corpului ,cel stang cu palma pe hemitoracele drept ;durerea bratului drept prin lateral sus in prelungirea corpului ,atingand solul cu palma ,inspiratie de tip costal bazal localizat : revenire cu expiratie prelungita .
X.Decubit lateral pe partea stanga ,un saculet cu nisip sub hemitorace ,piciorul stang intins ,cel drept indoit cu genunchiul sprijinit pe sol in fata ,mana dreapta sus pe langa cap ,palma pe sol ,kinetoterapeutul fiind plasat in spatele bolnavului ,cu palmele asezate pe baza hemitoracelui drept :inspiratie de tip costal bazal cu rezistenta .Aproape de finalul inspiratiei kinetoterapeutul elibereaza brusc hemitoracele :expiratia este prelungita si ajutata de kinetoterapeut prin compresiuni continue .
XI.Aceeasi pozitie ;inspiratia se executa sacadat .In prima faza ,care este mai scurta ,se opune rezistenta :la inceputul fazei a doua kinetoterapeutul elibereaza brusc baza hemitoracelui :expiratie pasiva cu presiune externa .
Indicatii metodice ;intre exercitii se asigura o pauza scurta ,timp in care se efectueaza respiratii obisnuite ,ample :in functie de evolutia bolii,de particularitatile individuale ,de sex si de varsta ,sistemul de mijloace se adapteaza permanent ,atat ca structura ,cat si ca durata si dozare .
Indici de apreciere :
-Constanta curbei termice :daca apare un puseu termic ,se suspenda programul pentru 24-48 de ore :daca puseul are o durata mai mare ,apare riscul unei recidive si deci programul se intrerupe pentru o perioada mai mare :
-Examenul radiologic :prin radioscopie se pune in evidenta mobilitatea diafragmului si a coastelor bazale iar radiografia releveaza degajarea sinusului costo- diafragmatic :
-Testarea mobilitatii toracice ;pacientul in fata oglinzii sau prin observarea directa ,cerceteaza nivelul de mobilitate al celor doua hemitorace .Cu mainele asezate pe baza toracelui urmareste cursa coastelor in inspiratie si expiratie .
Metoda cirtometrica ;prin determinarea indicilor de mobilitate parietala si simetrie toracica se permite o apreciere obiectiva a dinamicii miscarilor cutiei toracice .
-Explorarile functionale permit evidentierea indicilor ventilatori .
Concluzii :
-programul se efectueaza in sala de gimnastica ,ceea ce permite ca intensitatea efortului sa fie gradata ascensional :
-in cadrul programului accentul se pune pe exercitiile asimetrice cu adresabilitate precisa la hemitoracele si hemidiafragmul afectat ,pentru restabilirea simetriei :
-urmarirea etapizata a indicilor de apreciere permite adaptarea sistemului de mijloace la particularitatile individuale .
Stadiul III. Este stadiul care asigura in buna parte echilibrul functional ,intrucat efortul depus de bolnav pana in acest moment vine si materializeaza ,prin intermediiul indicilor de apreciere ,eficienta gimnasticii respiratorii .
Ca o caracteristica esentiala a acestui stadiu ,vindecarea reprezinta corolarul intregului arsenal terapeutic care a concurat la recuperarea bolnavului .O remarca aparte se cuvine pentru cei ce trec cu usurinta peste programul de recuperare ,deoarece orice facilitate acordata efortului conduce la constituirea sechelelor pleurale , sechele ce nu mai pot fi inlaturate .
In aceasta perioada se trece de la lucru asimetric la cel simetric si aceasta ca urmare ,in buna ,parte ,a degajarii sinusului costo-diafragmatic .
Desi evolutia programului este orientata spre actiuni cu preponderenta simetrice ,totusi cele asimetrice isi vor pastra rolul si locul pana cand se asigura o eliberare completa a plamanului .In acest stadiu trebuie sa se insiste mult pe recuperarea functionala ,intrucat inactivitatea sau o gresita orientare a programului poate conduce la constituirea si stabilizarea sechelelor pleurale .
Acest stadiu asigura premisele organismului ,deci si a functiilor sale ,la un efort de o intensitate mai ridicata fata de stadiile anterioare .Se cere totusi multa prudenta in selectionarea si esalonarea mijloacelor specifice ,precum si a celor cu caracter general ,pentru a realiza obiectivul major al recuperarii functionale si de pregatire pentru reintegrarea socio-profesionala .
Se actioneaza cu multa atentie pe planul dozarii efortului ,intrucat trecerea peste o anumita limita poate genera unele perturbari ,fapt ce ar impedica obtinerea rezultatelor dorite .
Programul de recuperare functionala
Pozitii de lucru :decubit (ventral ,dorsal ,lateral )asezat ,stand .
-Mers combinat cu miscari de brate ,insotite de respiratii ample ,obisnuite .
-Alergare usoara ,alternata cu mers (opt pasi alergati ,opt pasi mers )
-Mers linistitor ,cu respiratii ample .
I.Decubit lateral stang, cu saculet de nisip sub hemitoracele stang :inspiratie cu rezistenta din partea kinetoterapeutului :apnee cu apasarea sacadata asupra bazei hemitoracelui drept (serii de catre doua apasari ,prima fiind scurta ,a doua cu eliberare brusca ) :expiratie prelungita cu presiune exterioara .
II.Decubit dorsal pe patul basculat ,genunchii indoiti :bascularea patului cu trecere in pozitie decliva cu capul in jos ,inspiratie ;trecerea in pozitie decliva cu capul in sus ,expiratie (reeducarea diafragmului cu rezistenta interna ).
III.Decubit ventral ,mainele se apuca inapoi ,barbia sprijinita pe sol :extensii de trunchi cu ducerea brateleor mult inapoi in sus ,inspiratie ;revenire cu expiratie
IV.Pe genunchi ,sprijinit pe palme :trecerea mainii drepte mult peste cea stanga o data cu indoirea trunchiului spre stanga ,inspiratie de tip costo-diafragmatic : revenire cu expiratie .
V.Asezat pe scaun ,spatele sprijinit de spatar ,cu un brau incins pe mijloc ,incrucisat in fata ,apucat de capete : respiratii diafragmatice cu rezistenta .
VI.Asezat pe scaun (marginea patului ,banca de gimnastica ,saltea )bratele incrucisate ,palmele pe baza toracelui ,coatele pe genunchi :inspiratie sacadata (prima parte mai scurta ,a doua mai lunga ) de tip costo-diafragmatic ;expiratie prelungita .
VII.Asezat pe scaun (saltea ,banca de gimnastica )sau din pozitia stand ,mana stanga asezata pe baza hemitoracelui drept ,mana dreapta apuca de nas :inspiratie ampla ;expiratie profunda ;apnee cu blocarea narilor .
Indicatii metodice : in timpul apneei se imita miscarea de inspiratie de tip costo-bazal cu departarea sacadata a coastelor in plan frontal .Se urmareste ca actiunea sa fie localizata la nivel bazal ,iar umerii sa-si mentina pozitia normala ; se mentine apneea ,la inceput echivalentul a doua trei inspiratii,dupa care creste progresiv .
Varianta I :aceeasi pozitie ,mainele se aseaza pe baza toracelui .Se executa actiunea la fel ca in exercitiul de mai sus ,dar se asigura controlul bilateral al miscarilor toracelui .
Varianta a-II-a : aceeasi pozitie ,dar la baza toracelui se aplica un brau incrucisat in fata ,apucat de capete :se executa din apnee,dupa expiratie ,miscari de lateralitate sacadate ,la nivelul bazei toracelui .
Varianta a-III-a : aceeasi pozitie ca la varianta a-II-a ,dar se lucreaza pentru hemitoracele drept prin blocarea ,cu ajutorul braului ,a hemitoracelui stang .
VIII.Stand departat ,mainile inclestate in fata jos,palmele orientate in jos :inspiratie de tip costal -bazal cu ducerea bratelor sus ; apnee ,timp in care se indoaie trunchiul spre stanga ,cu usoara arcuire ; revenire cu expiratie prelungita .
Varianta :aceeasi actiune ,dar in timpul indoirii laterale spre stanga se fandeaza picioriul drept .Se executa de trei ori spre stanga si o data spre dreapta
IX.Stand departat ,trunchiul aplecat inainte ,bratele lateral ;ducere alterntiva a palmelor spre varful picioarelor .La inceput inspiratie spre stanga ,apoi spre dreapta si invers.
X.Stand departat ,cu o minge medicala asezata pe sol ,la nivelul varfurilor picioarelor :expiratie prelunga o data cu aplecarea si indoirea trunchiului inainte si apucarea mingii; inspiratie o data cu indepartarea trunchiului si ducerea mingii sus deasupra capului ;apnee cu indoirea trunchiului lateral stanga si arcuire ;expiratie cu ducerea mingii pe sol .Se repeta de trei ori spre stanga (indoire laterala )si o data spre dreapta
XI.Stand departat ,,cu o minge medicinala in maini :rotari ample ale trunchiului ,insotite de respiratii profunde .
XII.Stand departat ,cu un baston inainte jos, apucat de capete :inspiratie cu ducerea bastonului prin inainte sus si rasucirea trunchiului spre stanga ;apnee cu arcuire de doua ori a trunchiului ; revenire cu expiratie .
XIII.Ghemuire ,cu un baston inainte jos ,apucat de capete :inspiratie cu ridicarea si indepartarea trunchiului ,ducerea piciorului stang lateral ,bastonul prin inainte sus ,indoirea trunchiului spre stanga ,arcuire :revenire cu expiratie .La fel spre dreapta .
XIV.Stand ,cu latura stanga spre scara fixa ,bratul lipit de corp ,antebratul sprijinit ,mana stanga apuca sipca ,bratul drept pe deasupra capului indoit din cot apuca sipca ,inspiratie lenta ; apnee cu deplasarea bazinului in fata (fara a fi rasucit ) ; revenire cu expiratie .
Indicatii metodice :se executa de 4-6 ori pentru partea dreapta si de 1-2 ori pentru cea stanga .Pentru marirea amplitudinii se coboara treptat antebratul sau se executa numai cu sprijinul de sus .
XV.Stand,cu genunchii indoiti,umarul stang spre scara fixa,maina stanga apuca sipca in dreptul soldului ,dreapta deasupra capului :inspiratie cu indoirea trunchiului spre scara si intinderea bratelor si picioarelor ;soldul se impinge mult in afara ; revenire cu expiratie .La fel spre partea opusa .
XVI.Stand pe genunchi ,cu spatele spre scara fixa ,varfurile sprijinite sub prima sipca: indoirea trunchiului inainte cu asezare pe calcaie ,expiratie ;ducerea bratelor sus si inapoi apucand sipca ,inspiratie ;tractiuni usoare inainte cu apnee.
Pe masura ce nivelul de pregatire se prezinta cu valori imbunatatite ,pe langa lucru individual se poate apela si la actiuni colective .
Indici de apreciere
-Testarea mobilitatii toracice se realizeaza prin inregistrarea grefica ,cu ajutorul cirtometrului ,a mobilitatii toracice in inspiratie si expiratie .
-Evolutia capacitatii vitale se inregistreaza prin control zilnic ,atat la inceputul ,cat si la sfarsitul sedintei de gimnastica respiratorie ,efectuata la spirometru .
-Indicile Skibinschi : se inregistreaza etapizat valorile componente ale acestui indice ,iar calculele ne vor releva progresele obtinute in urma aplicarii tratamentului recuperator .
Conculzii :
-Dozarea efortului se realizeaza prin cresterea numarului de repetari si prin ingreunarea treptata a exercitiilor .
-Sistemul de mijoace utilizat se bazeaza pe exercitii simetrice ,simple si cu obiecte ,efectuate individual si in grup.
-Indicii de apreciere trebuie sa constituire puncte de referinta pentru efortul depus si pentru eficienta actiunilor recuperatorii intreprinse .
Stadiul IV.Se caracterizeaza prin antrenarea la eforturi de intensitate variabila .Este stadiul care asigura conditii optime pentru reintegrarea socio-profesionala .Diversitatea si dificultatea sistemului de mijloace trebuie sa aiba o adresabilitate precis localizata la nivelul profesiunii de baza .Prin aceasta nu trebuie sa intelegem ca se apeleaza la mijloace specifice profesiunii ,ci doar la elemente care prin structura si continut se apropie de profesiune ,fara a fi identice cu ea .
La bolnavii tineri ,reantrenarea la efort capata o cu totul alta structura fata de cei varsnici sau obezi .La tineri cota de intensitate se poate situa catre limita maxima ,raportata permanent la evolutia posibilitatilor lor .Din arsenalul de mijloace se selectioneaza exercitiile simetrice ci si fara ingreunari .
Raportat la dozarea efortului, precizam ca incarcatura actiunilor nu trebuie sa depaseasca o anumita limita ,intrucat efortul poate fi usor comutat de pe taramul eficientei pe cel al ineficientii.
Exercitiile selectionate si sistemul de lucru conduc la ridicarea nivelului de pregatire fizica generala a bolnavului .Pe acest fond, o atenta prelucrare se face la nivelul grupelor musculare abdominale ,cu precadere a muschilor oblici si transversi abdominale ,iar la nivelul toracelui ,a musculaturii ce favorizeaza excursia toracica .
Programul de recuperare functionala
Pozitii de lucru :intreaga gama de pozitii .
-Mers insotit de miscari de respiratie .
-Alergare ,alternata cu mers ,insotita de miscari de respiratie .
-Exercitii cu caracter specific (se selectioneaza exercitiile prezentate in complexul din stadiul III).
-Exercitii cu caracter general .
I.Stand :pas lateral cu stangul si ducerea bratelor spre dreapta ;balansarea brateleor prin jos spre dreapta si revenire la pozitia initiala ,expiratie .
II.Stand : fandare inainte cu stangul ,ducerea bratelor sus ,inspiratie ,intoarcere 180 spre dreapta in fandat pe piciorul drept ,mainele pe genunchi ,expiratorie ;intoarcere 180 spre stanga cu ducerea bratelor lateral ,inspiratie ; revenirea in pozitia initiala ,expiratie .
III.Stand : fandare laterala spre stanga ,bratul stang sus , mana dreapta pe sold,inspiratie ; indoire laterala spre dreapta cu arcuire ,apnee; revenire in pozitia initiala ,expiratie .La fel spre dreapta .
IV.Stand departat ,bratele laterale : rasucirea trunchiului spre stanga ,inspiratie ,rasucirea trunchiului spre dreapta,apnee ; rasucirea trunchiului spre stanga si revenirea la pozitia initiala ,expiratie .
V.Stand ghemuit : ducerea unui picior intins inapoi ,inspiratie ; schimbarea pozitiei picioarelor ,apnee ; schimbarea pozitiei picioarelor prin saritura si revenire la pozitia initiala ,expiratie .
VI.Stand ghemuit ,aruncarea picioarelor inapoi in sprijin decubit ventral ,inspiratie ; revenire in ghemuit ,apnee; aruncarea picioarelor inapoi si revenire in ghemuit ,expiratie .
VII.Stand ghemuit :ridicarea in stand cu ducerea bratelor oblic ,sus un picior inapoi sprijinit pe varf ,inspiratie ; revenire cu expiratie .
VIII.Stand bastonul in fata jos ,apucat de capete : fandare laterala spre stanga cu ducerea bastonului orizontal inainte,inspiratie ; revenire cu expiratie ,fandare laterala spre dreapta cu ducerea bastonului orizontal inainte ,inspiratie ;revenire cu expiratie ; fandare inainte cu stangul , cu ducerea bastonului sus, inspiratie ;revenire cu ducerea bastonului la ceafa ,expiratie ;fandare inainte cu dreptul si ducerea bastonului sus ,inspiratie ; revenire in pozitie initiala ,expiratie .
IX. Stand departat , bastonul in fata ,apucat de capete : aplecare cu ducerea bastonului orizontal sus ,expiratie ; indoirea bratelor cu ducerea bastonului orizontal la umeri ,inspiratie ;ducerea bastonului sus ,expiratie ; revenirea in pozitit initiala ,inspiratie .
X.Stand , bastonul la spate , la nivelul bazinului ,apucat la capete :pas inainte cu stangul ,inspiratie ; fandare cu ducerea bastonului inapoi sus si arcuire ,apnee ;revenirea la pozitia initiala ,expiratie .La fel cu celalalt picior .
XI.Stand ,mingea medicala tinuta cu ambele maini in fata jos : fandare inainte cu piciorul stang ,bratele sus ,inspiratie ;aplecarea trunchiului inainte si asezarea mingii pe sol ,expiratie ; indreptarea trunchiului ,ramanerea in fandat cu bratele lateral ,inspiratie ;revenire in stand ,expiratie ; fandare inainte cu piciorul drept ,bratele sus ,inspiratie ;aplecarea trunchiului inainte si apucarea mingii ,expiratie ; indreptarea trunchiului cu mingea sus ,inspiratie ; revenirea la pozitia initiala expiratie .
XII.Stand, mingea medicala tinuta cu ambele maini pe crestet : ducerea piciorului lateral ,inspiratie ; indoirea laterala a trunchiului spre stanga,apoi spre dreapta ,apnee ;revenire cu expiratie .La fel cu piciorul drept .
XIII. Stand ghemuit ,mingea medicala tinuta cu ambele maini pe genunchi :ducerea mingii sus ,trunchiul in extensie ,piciorul stang inapoi sprijinit pe varj ,inspiratie ;ducerea mingii inapoi ,bratele intinse cu ,semigenuflexiune ,expiratie ;ducerea mingii sus ,deasupra capului, trunchiul in extensie ,piciorul drept inapoi sprijinit pe varj,inspiratie ;revenirea la pozitia initiala ,expiratie .
XIV.Stand ,mainele pe solduri : saritura cu departarea si apropierea picioarelor in plan frontal si sagital insotite de respiratii .
-Mers linistitor ,insotit de miscari de relaxare a bratelor si picioarelor .
-Respiratii ample, efectuate de pe loc si din deplasare .
Indicatii metodice :numarul de repetari al fiecarui exercitiu este mai mic la inceput ; ritmul de lucru este pana se insuseste exercitiu -lent ,apoi se modifica ,capatand un caracter vioi ; inte exercitii se introduce o pauza in care se executa respiratii ample ; tipul respirator este cu precadere costo-diafragmatic ; complexul si exercitii se executa pe parcurs a 5-10 sedinte sub supravegherea kinetoterapeutului ,dupa care fiecare bolnav lucreaza independent ; atunci cand conditiile o permit ,se poate lucra si in grup ;pentru o sedinta se selectioneaza 5-7 exercitii.
Exercitii complementare
-mers pe teren plat ,apoi pe teren variat ,cu modificarea ritmului de deplasare ;
-alergare pe teren plat ,apoi pe teren variat ,cu alternarea ritmului pasilor si a respiratiei ;
-mers pe bicicleta : mers pe bicicleta ergometrica ;mers pe bicicleta de cursa pe teren plat si variat ;
-urcatul si coboratul treptelor cu pauze intercalate ;
-jocuri dinamice ;
-jocuri si alte activitati sportive .
Indicatii metodice :din cadrul acestei grupe de exercitii se selectioneaza treptat acele mijloace care ,prin continutul lor asigura acomodarea gradata la efort ;in functie de conditiile existente in unitatea spitaliceasca ,de posibilitatile bolnavului si de experienta pe care a acumulat-o kinetoterapeutul ,se folosesc cele mai adecvate mijloace .
Indici de apreciere
-Testarea mobilitatii toracice prin metoda cirtografica .
-Digrafia :determinarea indicelui freno-dinamic ce asigura aprecierea obiectiva a mobilitatii diafragmului in inspiratie si expiratie .
-Explorari functionale : pentru testarea indicilor ventilatori .
-Tensiunea arteriala : control al aparatului cardiovascular .
-Indicile Skibincki releva adaptarea la efort al bolnavului .
Concluzii generale
-Planul terapeutic ,pe langa tratamentul medicamentos ,
trebuie sa cuprinda obligatoriu recuperarea prin gimnastica respiratorie
-Eficienta programului de gimnastica respiratorie este asigurata numai in conditiile instituirii precoce a acesteia .
-Se considera ca pentru a ajunge la rezultatele dorite sunt necesare intre 60-120 sedinte de lucru,efectuate zilnic .
- Orice sechela chiar daca este de o valoare minima ,poate genera neplaceri functionale mari .
-O data cu recuperarea functiei respiratorii se asigura conditii optime de manifestare pe toate planurile .
-Un program echilibrat si judicios condus ,cu o cooperare deplina din partea bolnavului ,asociat cu o evolutie pozitiva ,pot conduce la obtinerea unui randament functional superior celui dinaintea bolii .
-O data sigurata recuperarea ,apare ca o necesitate obiectiva grija pe care cel vindecat trebuie sa o manifeste fata de propria persoana .Se cere asigurata o permanenta stare de veghe fata de influientele negative ale unor factori externi ,care ar putea reactiva sau chiar complica afectiunea .
-Sunt situatii in care gimnastica respiratorie ,prin valoarea influientelor pe care le are ,poate determina renuntarea la actul chirurgical ,intrucat rezultatele obtinute indreptatesc aceasta decizie .Daca aceasta decizie a fost totusi luata ,gimnastica respiratorie nu-si pierde valoarea ,ci dimpotriva ,vine si amplifica eficienta actului operator .
-La cei cu pleurezii vechi ,gimnastica respiratorie asigura o imbunatatire a ventilatiei datorita reeducarii cursei diafragmului .O crestere a cursei de numai 1-2cm permite ca la fiecare miscare respiratorie aerul ventilat sa creasca cu 250-500 cm 3.
BIBLIOGRAFIE
1. M. Chiriac, M. Zamfir, D. Antohi, Anatomia trunchiului vol. II, Litografia UMF Iasi, 1995, 32-37;
2. C. Th. Niculescu, R. Carmaciu, B. Voiculescu, C. Salavastru, C. Nita, C. Ciornei, Anatomia si Fiziologia omului - Compendiu, ed. Corint, Bucuresti, 2005, 311-333;
3. I. Halica, Fiziologie umana, Ed. Medicala, Bucuresti, 1989, 376-379;
4. T. Mihaescu, B. D. Grigoriu, C. Mitrofan, Patologie Pleurala, ed. Dan, Iasi, 2001, 1-9, 65-69;
5. L. Gherasim, Medicina interna, vol. I, editia a II-a, Ed. Medicala, Bucuresti, 2002, 348-362, 479-514;
6. C. Borundel, Manual de medicina interna, ed. All, Bucuresti, 1994, 258-263;
7. D. I. Alexa, Medicina interna - Notiuni de baza, ed. Junimea, Iasi, 2004, 57-60;
8. K. K. Heinz, Ingrijirea bolnavului, ed. All, Bucuresti, 1998, 146-150;
9. I. Antohi, M. C. Fermesanu, Elemente de nursing clinic, ed. Junimea, Iasi, 2003, 11-58;
10. L. Titirca, Tehnici de evaluare si ingrijire acordate de asistentii medicali, Editia Viata medicala romaneasca, 1997, 18-158, 168-172;
11. M. Beuran, Ghid de manevre medicale si colaborarea medic - asistenta, ed. Scripta, Bucuresti, 1999, 53-74;
12. C. Ionescu, Bolile pleurei, ed. Junimea, Iasi, 1982, 9-11, 17-47, 81-83, 144-155;
13. Harrison, Principii de medicina interna, ed. Teora, editia a 14-a, Bucuresti, 2001, 1624-1635;
14. R. W. Light, Pleural Diseases 3-rd, ed. Philadelphia, 1995, 211-224
15. T. Mihaescu, A. Trofor, Tehnici de investigatie intrumentala, ed. Dan, Iasi,1998, 3-9, 11-21;
16.T.Mihaescu,Indrumator pentru studenti si rezidenti ,ed.Dan,Iasi,2002
Acest document nu se poate descarca
| E posibil sa te intereseze alte documente despre: |
| Copyright © 2025 - Toate drepturile rezervate QReferat.com | Folositi documentele afisate ca sursa de inspiratie. Va recomandam sa nu copiati textul, ci sa compuneti propriul document pe baza informatiilor de pe site. { Home } { Contact } { Termeni si conditii } |
Documente similare:
|
ComentariiCaracterizari
|
Cauta document |